Este guia de delineamento de volume alvo e planejamento de campos organiza, em um único texto, a arquitetura clínica de Target Volume Delineation and Field Setup. O livro foi concebido para residentes, radio-oncologistas, físicos médicos, dosimetristas e terapeutas que precisam transformar técnicas atuais em planejamento seguro de tratamento, com ênfase explícita em IMRT, SBRT e prática diária.
As páginas iniciais deixam isso muito claro: a série foi criada para orientar contorno, recomendar condutas e mostrar quando aplicar tecnologias diferentes sem perder segurança. Na rotina, esse raciocínio conversa bem com a padronização de estruturas em radioterapia segundo TG-263, com o uso de visualizadores DICOM na revisão do planejamento e com os debates sobre cálculo e verificação de dose com Monte Carlo.
O conteúdo abaixo segue o desenho do próprio livro: cabeça e pescoço, mama e tórax, abdome, pelve, ginecologia, sistema nervoso central, linfomas e sarcomas. Em vez de repetir listas soltas, a proposta aqui é mostrar como cada capítulo posiciona o problema clínico, quais etapas de delineamento aparecem logo na abertura e onde vale aprofundar em um artigo dedicado.
Princípios Gerais de Planejamento e Delineamento
A apresentação da série insiste em um ponto que continua atual: contorno não é apêndice do plano. Ele define quando usar as tecnologias disponíveis e como executar planejamento seguro. Por isso, mesmo mudando de nasofaringe para pâncreas, de linfoma para metástase cerebral, o livro volta sempre aos mesmos pilares operacionais: anatomia, trabalho diagnóstico relevante, simulação, localização diária, órgãos de risco e avaliação da dose.

Esse padrão reaparece em quase todos os capítulos. Alguns entram por anatomia e padrões de disseminação; outros começam pelo pacote de imagem, pela seleção técnica ou pela decisão entre estratégias concorrentes. A consistência metodológica é o que dá valor ao conjunto.
Capítulos de cabeça e pescoço na abertura do livro
O primeiro bloco do livro cobre tumores de cabeça e pescoço com foco reiterado em anatomia, disseminação, simulação e planejamento.
| Capítulo | Doença | Foco de abertura |
|---|---|---|
| 1 | Nasopharyngeal carcinoma | General principles of planning and target delineation |
| 2 | Oropharyngeal carcinoma | Introduction; anatomy and patterns of spread; workup; simulation; IMRT schemes |
| 3 | SBRT for head and neck cancer | Clinical selection for elderly and frail patients |
| 4 | Larynx cancer | Subsites, spread patterns, workup, localization, treatment planning |
| 5 | Hypopharyngeal carcinoma | Anatomy, workup, simulation, target delineation |
| 6 | Oral cavity cancers | General planning and target delineation |
| 7 | Nasal cavity and paranasal sinus tumors | Anatomy, workup, simulation, treatment planning |
| 8 | Major salivary glands | General planning and target delineation |
| 9 | Thyroid cancer | General planning and target delineation |
| 10 | Unknown primary in head and neck | General planning and target delineation |
Fonte: Target Volume Delineation and Field Setup, 2nd Edition (sumário e páginas de abertura dos capítulos).
Carcinoma de Nasofaringe
O capítulo de nasofaringe abre a série com um foco direto em princípios gerais de planejamento e delineamento. Isso já define o tom do livro: antes de discutir casos específicos, o alvo precisa ser entendido com método. Para seguir esse raciocínio em detalhe, revise o artigo dedicado ao carcinoma de nasofaringe.
Carcinoma de Orofaringe
Na orofaringe, o texto começa pela definição anatômica dos tumores que acometem tonsilas, base de língua, palato mole e parede posterior da faringe. A abertura também destaca a associação frequente com HPV, o contraste com tumores ligados a tabaco e álcool, e a sequência prática do capítulo: anatomia da disseminação, estadiamento, simulação, localização diária, esquemas de IMRT e volumes sugeridos. Para aprofundar, veja o capítulo completo sobre carcinoma de orofaringe.
SBRT para Cânceres de Cabeça e Pescoço
A abertura do capítulo de SBRT em cabeça e pescoço é clínica e nada abstrata. Ela descreve doença avançada, muitas vezes em pacientes idosos, com desfechos historicamente ruins mesmo após tratamento multimodal agressivo. Em pacientes aptos, pode haver escolha por radiação radical de alta dose; nos frágeis, a decisão contra um curso prolongado depende de preferência do paciente, fatores tumorais, expectativa de vida e tolerância ao tratamento agressivo. O artigo dedicado desdobra esse raciocínio para SBRT em cabeça e pescoço.
Câncer de Laringe
O capítulo de laringe organiza a anatomia em três subsítios: supraglote, glote e subglote. Na supraglote, o livro enumera ventrículos, falsas cordas vocais, aritenoides, pregas ariepiglóticas e epiglote, e ainda deixa um ponto prático muito claro: a irradiação eletiva nodal bilateral é indicada para toda laringe supraglótica. Depois disso, o texto segue para investigação, localização diária e planejamento. Para a versão completa, consulte o artigo detalhado sobre câncer de laringe.
Carcinoma Hipofaríngeo
Na hipofaringe, a anatomia vem com marcos espaciais úteis: o segmento fica entre a orofaringe e o esôfago cervical, do topo do hioide, por volta de C4, até a borda inferior da cartilagem cricoide, por volta de C6. O capítulo destaca três subsítios, o potencial de disseminação submucosa e a facilidade de extensão para múltiplas regiões vizinhas, com impacto direto sobre fala e deglutição. Para seguir essa lógica em profundidade, leia o artigo dedicado ao carcinoma hipofaríngeo.
Cânceres da Cavidade Oral
O capítulo da cavidade oral começa pela rotina que sustenta um bom contorno: exame oral completo, biópsia e imagem para estadiamento e planejamento. A tomografia é apresentada como ferramenta-chave para extensão local, linfonodos cervicais e invasão de mandíbula, maxila e fossa pterigopalatina; a ressonância ganha vantagem para partes moles e disseminação perineural; o PET ajuda na avaliação nodal e de doença à distância. O artigo dedicado aprofundará o delineamento em cavidade oral.
Cavidade Nasal e Seios Paranasais
Nos tumores sinonasais, o livro insiste que não existe um único comportamento biológico. A página de abertura já lista histologias muito diferentes, como carcinoma escamoso, adenocarcinoma de glândulas salivares menores, carcinoma adenoide cístico, estesioneuroblastoma e carcinoma sinonasal indiferenciado. Como cavidade nasal e seios se comunicam por múltiplos óstios e septos finos, a extensão local para cavidades adjacentes vira parte central do planejamento. Para ver o capítulo inteiro, acesse o artigo dedicado a cavidade nasal e seios paranasais.
Glândulas Salivares Maiores
O capítulo de glândulas salivares maiores define logo o pacote mínimo de imagem: tomografia contrastada ou ressonância magnética da base do crânio às clavículas. A ressonância recebe destaque pela melhor visualização do tumor, pela definição de margens, extensão profunda e padrão de infiltração, especialmente nas sequências ponderadas em T1. Para revisar essa abordagem com calma, leia o artigo detalhado sobre glândulas salivares maiores.
Câncer de Tireoide
Na tireoide, o capítulo traz um limite prático importante: o contraste iodado na tomografia deve ser evitado quando o paciente ainda precisará de radioiodo, porque a captação pode ficar comprometida por até 6 meses. O texto também chama atenção para o valor de ressonância e ultrassom na pesquisa de linfonodos e extensão extratireoidiana, e lembra que doença pouco diferenciada ou anaplásica pode ser FDG-ávida. Para ver o desenho completo dos volumes, consulte o artigo sobre câncer de tireoide.
Primário Oculto em Cabeça e Pescoço
No primário oculto, o livro não simplifica a etapa diagnóstica. Antes de aceitar o rótulo de origem desconhecida, ele pede exame físico cuidadoso com avaliação de nervos cranianos, endoscopia com visualização de nasofaringe, orofaringe, laringe e hipofaringe, além de tomografia de alta resolução com contraste e exame detalhado de pele e couro cabeludo. Para revisar esse fluxo completo, veja o artigo dedicado ao primário oculto em cabeça e pescoço.
Câncer de Mama Inicial
Na mama inicial, o capítulo assume a radioterapia conformada tridimensional com compensação adequada, como field-in-field e energias mistas, como técnica padrão no cenário adjuvante. O texto também destaca que a evidência mais forte favorece irradiação hipofracionada da mama inteira, discute o boost no leito tumoral e lembra que APBI pode ser aceitável em pacientes de baixo risco com doença unifocal. O capítulo completo está em nosso artigo sobre câncer de mama inicial.
Irradiação Linfonodal Regional na Mama
O capítulo nodal da mama é extremamente operacional. O paciente vai para a tomografia com ambos os braços acima da cabeça em prancha mamária, o contraste venoso é opcional, cicatriz e limites da mama podem ser marcados com fios, e a aquisição deve ir do cricoide até 5 cm abaixo da borda inferior do campo, incluindo ambos os pulmões. Depois disso, o texto entra em parede torácica reconstruída ou não reconstruída e planejamento conformado. Para aprofundar, leia o artigo sobre irradiação linfonodal regional na mama.

Capítulos de mama, tórax e abdome alto
Nesse grupo, o texto aproxima técnica, imagem e movimento de forma particularmente prática.
| Capítulo | Doença | Foco de abertura |
|---|---|---|
| 11 | Early breast cancer | General planning and target delineation |
| 12 | Regional nodal irradiation in breast cancer | Nodal target delineation and chest wall scenarios |
| 13 | Lung cancer | Planning, motion management, nodal levels |
| 14 | Esophageal cancer | Planning and target delineation |
| 15 | Gastric cancer | Anatomy, workup, postoperative CTV scenarios |
| 16 | Pancreatic cancer | General target delineation and planning |
| 17 | Hepatocellular carcinoma | General planning and target delineation |
Fonte: Target Volume Delineation and Field Setup, 2nd Edition (sumário e páginas de abertura dos capítulos).
Câncer de Pulmão
Em pulmão, o livro assume sem rodeios que planejamento por tomografia e manejo do movimento respiratório são padrão tanto em NSCLC quanto em SCLC. 3D-CRT, IMRT e SBRT usam múltiplos ângulos e mudam a conformidade de dose, então o contorno correto do alvo, das estruturas normais e dos órgãos de risco passa a ser inseparável da leitura de DVHs e do entendimento das cadeias mediastinais em risco. O artigo dedicado aprofundará o delineamento no câncer de pulmão.
Câncer de Esôfago
No esôfago, a ideia central permanece a mesma: planejamento tomográfico com técnicas conformacionais é o padrão. Tanto IMRT quanto 3D-CRT exigem volumes corretos, órgãos de risco bem definidos e avaliação de histogramas dose-volume, mas o capítulo lembra um detalhe decisivo: o esôfago percorre pescoço, mediastino e abdome, então o planejamento depende de uma leitura anatômica ampla de plexo braquial, pulmões, coração, medula e esôfago normal. Para a discussão completa, veja o artigo dedicado ao câncer de esôfago.
Câncer Gástrico
O capítulo gástrico mistura anatomia e cenários pós-operatórios de forma útil. Ele relembra que o estômago começa na junção gastroesofágica e termina no piloro, descreve curvaturas maior e menor, divide o órgão em cárdia, fundo, corpo e antro, e depois organiza volumes clínicos para situações pós-gastrectomia envolvendo cárdia, corpo e antro/piloro. Para revisar esse encadeamento com calma, acesse o artigo detalhado sobre câncer gástrico.
Câncer de Pâncreas
No pâncreas, o texto já entra em técnica. A IMRT aparece como abordagem cada vez mais padrão em cenários neoadjuvante, adjuvante e definitivo; 3D-CRT ainda pode ser útil em paliação e em alguns neoadjuvantes; abordagens ablativas exigem SBRT ou técnicas guiadas por imagem. O capítulo também traz um protocolo concreto de simulação com contraste: 150 cc a 5 cc/s, com fases tardia arterial aos 35 s e portal venosa aos 90 s, detalhe especialmente crítico quando a dose ultrapassa 50 Gy em EQD2. O artigo dedicado explica esse planejamento pancreático em profundidade.

Carcinoma Hepatocelular
Na doença hepática primária, a própria abertura do capítulo mostra a prioridade escolhida pelos autores: princípios gerais de planejamento e delineamento, seguidos de leitura complementar. É uma forma de lembrar que, no fígado, a lógica do volume vem antes da prescrição isolada. Para acompanhar esse raciocínio no texto dedicado, acesse o artigo sobre carcinoma hepatocelular.
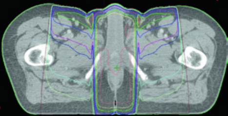
Câncer Retal
O capítulo retal é organizado como um fluxo de prática diária: trabalho diagnóstico relevante para delineamento, simulação e localização diária, definição dos volumes-alvo e avaliação do plano. A sequência faz sentido porque, em pelve, o erro raramente nasce no último passo; ele costuma começar antes, na preparação do caso. Para acompanhar o capítulo em detalhe, veja o artigo dedicado ao câncer retal.
Câncer Anal
No canal anal, o livro já entrega uma referência anatômica simples e útil: cerca de 4 cm de extensão, do anel anorretal proximal até a margem anal distal. A partir daí, o capítulo estrutura anatomia, padrões de disseminação, estadiamento, simulação, delineamento e avaliação do plano. Para ver como isso se transforma em volume tratável, leia o artigo detalhado sobre câncer anal.
Terapia Ginecológica Pós-operatória
No cenário pós-operatório ginecológico, a introdução é objetiva: IMRT tornou-se a técnica de escolha para radioterapia adjuvante em neoplasias cervicais e endometriais. O capítulo ainda cita ensaio randomizado de fase III com redução significativa de toxicidade aguda gastrointestinal e geniturinária, melhora de qualidade de vida e menor irradiação de medula óssea em comparação com 3D conformacional. Para a versão completa, consulte o artigo dedicado à radioterapia ginecológica pós-operatória.
Terapia Ginecológica Definitiva
Na doença ginecológica definitiva, o livro mostra uma mudança de prática em andamento. A IMRT aparece como estratégia cada vez mais difundida, mesmo sem grandes estudos randomizados, apoiada por ensaios fase II e estudos controlados que sugerem efetividade e menor toxicidade. O capítulo percorre estadiamento, tomografia para planejamento, delineamento, órgãos de risco, avaliação do plano, guiagem por imagem e cenários de colo do útero, vagina e endométrio. Para aprofundar, leia o artigo de radioterapia ginecológica definitiva.
Braquiterapia Guiada por Imagem
A braquiterapia guiada por imagem ocupa um capítulo inteiro porque o fluxo não cabe em poucas linhas. O sumário já mostra a amplitude: princípios gerais, câncer de colo com escolha de aplicador, avaliação do implante, delineamento e planejamento, além de cenários endometriais, vaginais e vulvares. Para ver a organização completa do capítulo, acesse o artigo dedicado à braquiterapia guiada por imagem.
Câncer de Vulva
O texto de vulva é direto ao chamar essa uma das localizações mais complexas da radioterapia. Grandes volumes e taxas elevadas de morbidade, sobretudo com quimiorradioterapia intensiva em casos avançados, justificam o destaque dado à IMRT, à simulação, ao registro de imagens, ao delineamento, à prescrição, aos órgãos de risco e ao tratamento guiado por imagem. Para a leitura completa, veja o artigo dedicado ao câncer de vulva.
Tecnologias Avançadas em Ginecologia
No capítulo de tecnologias avançadas, os autores deixam claro o problema que estão tentando resolver: desfechos ainda subótimos em doença ginecológica locorregionalmente avançada e toxicidades que limitam a entrega do tratamento. Daí surgem os blocos do capítulo sobre guiagem por imagem, IMRT com preservação de medula óssea, replanejamento adaptativo, prótons e SBRT. Para acompanhar essa agenda tecnológica com mais detalhe, leia o artigo dedicado às tecnologias avançadas em ginecologia.
Adenocarcinoma de Próstata
Na próstata, o capítulo é objetivo: IMRT é a técnica padrão para radioterapia externa tanto no cenário definitivo quanto no pós-operatório, isoladamente ou combinada à braquiterapia. Existem diferentes esquemas de fracionamento, mas todos dependem da mesma base: bom delineamento do alvo e tratamento guiado por imagem. O texto dedicado detalha essas escolhas no adenocarcinoma de próstata.
Câncer de Bexiga
Na bexiga, a preservação do órgão com terapia trimodal aparece como opção definitiva padrão para doença músculo-invasiva sem linfonodos, começando por ressecção transuretral máxima, idealmente completa, seguida de quimiorradioterapia concomitante. O capítulo também diferencia doença nodal, recorda o histórico do 3D conformacional nos protocolos RTOG/NRG e incorpora a permissão mais recente para IMRT, além de trazer diretrizes do MSKCC. Para o conteúdo completo, veja o artigo sobre câncer de bexiga.
Seminoma Testicular
No seminoma, quase tudo começa com orquiectomia inguinal radical. O capítulo deixa claro que a conduta pós-operatória depende do subtipo histológico e da extensão da doença, e que radioterapia geralmente se reserva aos seminomas puros, sendo rara em tumores não seminomatosos. Antes de qualquer decisão, entram história clínica, exame físico, AFP, beta-hCG, LDH, perfil bioquímico, ultrassom testicular e radiografia de tórax. Para revisar esse caminho, acesse o artigo dedicado ao seminoma testicular.

Capítulos de pelve, ginecologia e trato geniturinário
Os capítulos pélvicos mostram um fluxo muito claro entre estadiamento, posicionamento, delineamento e avaliação do plano.
| Capítulo | Doença | Foco de abertura |
|---|---|---|
| 18 | Rectal cancer | Workup, simulation, target delineation, plan assessment |
| 19 | Anal cancer | Anatomy, workup, simulation, treatment planning |
| 20 | Postoperative gynecologic therapy | Introduction, workup, treatment planning |
| 21 | Definitive gynecologic therapy | Staging, CT simulation, target delineation, OARs |
| 22 | Image-guided brachytherapy | Applicator choice, implant evaluation, planning |
| 23 | Vulvar cancer | General principles, simulation, image registration, OARs |
| 24 | Advanced gynecologic technologies | Image guidance, marrow-sparing IMRT, adaptive replanning |
| 25 | Prostate adenocarcinoma | General planning and target delineation |
| 26 | Bladder cancer | 3D-CRT, IMRT, simulation, MSKCC guidelines |
| 27 | Testicular seminoma | General planning and target delineation |
Fonte: Target Volume Delineation and Field Setup, 2nd Edition (sumário e páginas de abertura dos capítulos).
Metástases Cerebrais
Em metástases cerebrais, a página de abertura enquadra a decisão que mais reorganiza o plano: radioterapia de cérebro total ou radiocirurgia estereotáxica. O texto lembra que a escolha depende do número e do volume das metástases, além do performance status, e resume um contraste clínico importante: SRS preserva melhor função neurocognitiva e qualidade de vida, enquanto WBRT melhora controle intracraniano distante e global. Para ver a construção completa do capítulo, leia o artigo detalhado sobre metástases cerebrais.

Tumores Benignos do SNC
O capítulo de tumores benignos do SNC é amplo porque o grupo é amplo. Depois dos princípios gerais de planejamento e delineamento, ele entra em posicionamento, imobilização, simulação, estruturas normais e, na sequência, percorre tumores astrocíticos e oligodendrogliais de baixo grau, meningioma, schwannoma vestibular e não vestibular, hipófise e glômicos/paragangliomas. Para revisar esse mapa inteiro, veja o artigo dedicado aos tumores benignos do SNC.
Tumores Malignos do SNC
Nos tumores malignos do SNC, o capítulo abre pedindo história detalhada, exame neurológico focado e investigação laboratorial apropriada. Em seguida, o sumário posiciona os elementos clássicos do planejamento neuro-oncológico: imobilização, simulação, estruturas normais e, mais adiante, glioma de alto grau. O texto dedicado detalha esse raciocínio para os tumores malignos do SNC.
Linfoma de Hodgkin e Não Hodgkin
O capítulo de linfoma se destaca por organizar campo e volume lado a lado. Os autores partem de princípios gerais de delineamento e field setup, passam para radioterapia em sítio envolvido e em linfonodo envolvido, entram em exemplos baseados em casos e terminam com contornos para regiões inguino-pélvicas, estômago e linfoma orbitário ou sinonasal. Para revisar esse percurso, veja o artigo dedicado ao linfoma.
Sarcoma de Partes Moles
No sarcoma de partes moles, o capítulo é muito específico sobre como o tumor se espalha e como isso deve mudar o volume. Localização anatômica, tamanho, profundidade e patologia dirigem a conduta; a invasão costuma ser longitudinal dentro do músculo e do compartimento; edema suspeito pode carregar doença microscópica e deve, em geral, entrar no alvo; barreiras como osso, membrana interóssea e grandes fáscias precisam ser usadas a favor do planejamento conservador. Para o capítulo completo, acesse o artigo sobre sarcoma de partes moles.
Sarcoma Pediátrico
O capítulo pediátrico deixa claro que sarcoma, na infância, não é uma única doença. Ele reúne tumores ósseos e de partes moles, lembra que algoritmos terapêuticos variam conforme histologia, estágio, grupo de risco e até região geográfica, e aponta dois marcos úteis: sarcoma de Ewing é o segundo tumor ósseo pediátrico mais comum e rabdomiossarcoma é o sarcoma de partes moles mais frequente. O artigo dedicado desdobra esse panorama para o sarcoma pediátrico.
Tumores Cerebrais Pediátricos
O fechamento do livro em tumores cerebrais pediátricos é bem construído. O capítulo separa meduloblastoma, ependimoma e germinoma puro, e logo na abertura lembra que 3D conformacional, IMRT, VMAT e prótons podem ser usados com sucesso. A tecnologia muda, mas a exigência central não muda: delineamento volumétrico cuidadoso. Para acompanhar o capítulo inteiro, veja o artigo dedicado aos tumores cerebrais pediátricos.
Capítulos de SNC, linfoma, sarcomas e pediatria
Na parte final do livro, o peso recai sobre imobilização, seleção de plataforma, volumes especiais e leitura cuidadosa da anatomia.
| Capítulo | Doença | Foco de abertura |
|---|---|---|
| 28 | Brain metastases | WBRT versus SRS; general principles for both |
| 29 | Benign CNS tumors | Planning, immobilization, simulation, normal structures |
| 30 | Malignant CNS tumors | Planning, simulation, high-grade glioma |
| 31 | Hodgkin and non-Hodgkin lymphoma | Field setup, involved-site and involved-node RT |
| 32 | Soft tissue sarcoma | General planning and target delineation |
| 33 | Pediatric sarcoma | Background, imaging, target delineation, localization |
| 34 | Pediatric brain tumors | Medulloblastoma, ependymoma, pure germinoma |
Fonte: Target Volume Delineation and Field Setup, 2nd Edition (sumário e páginas de abertura dos capítulos).
Quando o leitor percorre o livro inteiro, uma mensagem fica nítida: o valor do delineamento não está apenas em desenhar volumes, mas em conectar imagem, anatomia, intenção terapêutica e limites de toxicidade. Use este guia como mapa e avance para cada artigo dedicado quando precisar do passo a passo completo de um sítio específico.




