O delineamento de volumes-alvo na cavidade oral exige conhecimento anatômico detalhado e correlação precisa com exames de imagem. Tumores dessa região — língua oral, mucosa jugal, assoalho da boca, gengiva, palato duro e trígono retromolar — apresentam padrões de disseminação distintos, e a definição correta dos CTVs determina o equilíbrio entre controle tumoral e preservação funcional. Este artigo detalha as diretrizes de delineamento, doses e volumes tanto para tratamento definitivo quanto pós-operatório, com base no livro Target Volume Delineation and Field Setup, 2ª edição.
Para uma visão completa de todas as regiões anatômicas abordadas nesta série, confira nosso guia completo sobre delineamento de volume-alvo em radioterapia.
Neste Artigo
- Avaliação por Imagem e Simulação
- Volumes-Alvo no Tratamento Definitivo
- Volumes-Alvo no Tratamento Pós-Operatório
- Diretrizes por Subsítio da Cavidade Oral
- Caso Clínico: Carcinoma de Língua Oral
- Caso Clínico: Mucosa Jugal
- Caso Clínico: Trígono Retromolar
- Caso Clínico: Gengiva com Invasão Óssea
- Caso Clínico: Mucosa Jugal com Extensão Extranodal
- Caso Clínico: Assoalho da Boca
Avaliação por Imagem e Simulação
Todo paciente com câncer de cavidade oral deve passar por exame clínico completo da cavidade oral, biópsia e exames de estadiamento antes do planejamento radioterápico. A tomografia computadorizada (TC) com contraste intravenoso é o padrão para avaliar extensão local do tumor e comprometimento linfonodal cervical. A TC se destaca na detecção de invasão mandibular, maxilar e da fossa pterigopalatina — locais onde a decisão de incluir ou não estruturas ósseas no CTV muda completamente o plano.
A ressonância magnética (RM) supera a TC na avaliação de extensão em tecidos moles e disseminação perineural. Na prática, quando há suspeita de envolvimento do nervo alveolar inferior ou do ramo mandibular do trigêmeo, a RM é indispensável. Já o PET-CT é útil para avaliar linfonodos regionais e descartar doença a distância, sendo particularmente relevante em estadiamentos mais avançados.
A simulação por TC com contraste IV deve ser realizada com o paciente em posição supina, pescoço levemente hiperextendido, usando máscara termoplástica de cinco pontos. Um bite block pode ser posicionado para deprimir a língua e protruir o lábio inferior, além de elevar o palato duro — manobra que afasta tecidos normais do volume de tratamento. Fio radiopaco deve marcar cicatrizes cirúrgicas e locais de drenos. Quando há extensão extranodal ou cicatriz em risco, bolus de tecido-equivalente garante cobertura adequada da superfície.
Volumes-Alvo no Tratamento Definitivo

No cenário definitivo, três níveis de CTV estruturam a prescrição. O GTV70 engloba toda doença macroscópica visível ao exame físico e imagem. O CTV70 é idêntico ao GTV70, embora uma margem de 5 mm — excluindo osso — possa ser adicionada quando há incerteza sobre a extensão real da doença.
O CTV59,4 (alto risco subclínico) deve envolver o CTV70 inteiramente e cobrir todo o subsítio anatômico de origem. Se o tumor é de língua oral, a língua oral inteira entra nesse volume. Se é de mucosa jugal, toda a mucosa jugal. Além disso, os níveis linfonodais com doença patológica e os níveis ipsi ou contralaterais adjacentes com risco elevado de doença subclínica devem ser incluídos.
O CTV54 (baixo risco) abrange níveis linfonodais ipsi e/ou contralaterais sem comprometimento patológico, mas com risco suficiente para justificar cobertura eletiva.
Tabela de Volumes e Doses — Tratamento Definitivo
| Volume-alvo | Definição e descrição |
|---|---|
| GTV70 | Primário: toda doença macroscópica ao exame e imagem. Pescoço: toda doença nodal macroscópica. |
| CTV70 | Idêntico ao GTV70; margem de 5 mm (excluindo osso) pode ser adicionada se houver incerteza sobre extensão. |
| CTV59,4 | Primário: CTV70 + subsítio anatômico completo. Pescoço: níveis com doença + níveis adjacentes de alto risco subclínico. |
| CTV54 | Níveis linfonodais ipsi e/ou contralaterais sem comprometimento, com baixo risco de doença subclínica. |
PTV70 = 69,96 Gy em 2,12 Gy/fração; PTV59,4 = 59,4 Gy em 1,8 Gy/fração; PTV54 = 54 Gy em 1,64 Gy/fração. Alternativa: 70 Gy em 2 Gy/fração com boost sequencial ou integrado simultâneo. Fonte: Target Volume Delineation and Field Setup, 2nd Edition (Table 6.1).
Volumes-Alvo no Tratamento Pós-Operatório

No pós-operatório, a hierarquia muda. O CTV66 cobre regiões de margens microscopicamente positivas ou extensão extracapsular — situações que comprovadamente elevam o risco de recidiva local. O CTV60 engloba a doença macroscópica pré-operatória, todo o leito operatório e o subsítio anatômico relevante, além dos níveis linfonodais de alto risco. O CTV54 segue a mesma lógica do cenário definitivo: níveis com baixo risco subclínico.
Se houver doença residual macroscópica, o GTV deve ser delineado separadamente. As doses pós-operatórias são: PTV66 = 66 Gy em 2,2–2,0 Gy/fração; PTV60 = 60 Gy em 2 Gy/fração; PTV54 = 54 Gy em 1,8 Gy/fração.
Tabela de Volumes e Doses — Tratamento Pós-Operatório
| Volume-alvo | Definição e descrição |
|---|---|
| CTV66 | Primário: regiões de invasão de partes moles/osso ou margens microscopicamente positivas. Pescoço: regiões de extensão extracapsular. |
| CTV60 | Primário: doença macroscópica pré-op + todo o leito operatório + subsítio anatômico inteiro. Pescoço: doença pré-op + leito op + níveis de alto risco subclínico. |
| CTV54 | Níveis linfonodais ipsi e/ou contralaterais sem comprometimento, com baixo risco de doença subclínica. |
Se houver doença residual macroscópica: delinear GTV separadamente. PTV66 = 66 Gy em 2,2–2,0 Gy/fração; PTV60 = 60 Gy em 2 Gy/fração; PTV54 = 54 Gy em 1,8 Gy/fração. Fonte: Target Volume Delineation and Field Setup, 2nd Edition (Table 6.2).
Diretrizes por Subsítio da Cavidade Oral
Cada subsítio possui padrões de drenagem linfática e disseminação local próprios, o que exige adaptações específicas nos volumes-alvo. A tabela abaixo sintetiza as recomendações por local e estadiamento, diferenciando entre volumes de alto e baixo risco subclínico. Note que, para tumores bem lateralizados de mucosa jugal, gengiva ou trígono retromolar, o tratamento do pescoço contralateral pode ser omitido a critério do radioterapeuta. Já os tumores de palato duro são tipicamente de origem salivar (como o carcinoma adenoide cístico), e a cobertura do trajeto dos nervos trigeminais deve ser considerada — enquanto a cobertura cervical pode ser dispensada pela baixa taxa de disseminação nodal desses tumores.
Atenção especial para a língua oral: o nível VI é sítio de drenagem e a recomendação é fortemente favorável à inclusão, principalmente em doença com comprometimento nodal positivo. Essa recomendação se estende ao cenário de extensão extranodal, como discutido nos artigos sobre câncer de laringe e carcinoma de hipofaringe.
Tabela de Diretrizes por Subsítio
| Subsítio | Estadio | CTV alto risco (CTV59,4 ou CTV60) | CTV baixo risco (CTV54) |
|---|---|---|---|
| Língua oral, assoalho da boca | T1–T4N0 | Leito tumoral, língua oral inteira, base da língua, níveis I–IV bilaterais a critério médico | Níveis I–IV bilaterais a critério médico. Cobertura profilática do nível VI quando indicado. |
| T1–T4N1–3 | Idem + inclusão do nível VI | Idem + nível VI | |
| Mucosa jugal, trígono retromolar, palato duro, gengiva | T1–T2N0 | Leito tumoral + níveis I–IV ipsilaterais a critério médico | Níveis I–IV ipsilaterais a critério médico |
| T3–T4N0 | Leito tumoral + níveis I–IV ipsilaterais | Níveis II–IV contralaterais | |
| T1–T4N1–3 | Leito tumoral + níveis I–V ipsilaterais ou bilaterais se contralateral envolvido | Níveis II–IV contralaterais se não envolvidos |
66 Gy para margens positivas ou extensão extracapsular; 70 Gy se doença residual macroscópica. Para tumores bem lateralizados de mucosa jugal/gengiva/trígono retromolar, pescoço contralateral pode ser omitido. Tumores de palato duro: cobertura do trajeto trigeminal; pescoço pode ser omitido. Fonte: Target Volume Delineation and Field Setup, 2nd Edition (Table 6.3).
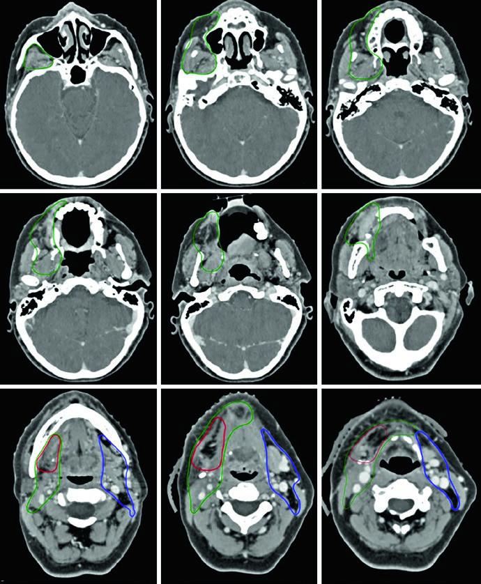
Caso Clínico: Carcinoma de Língua Oral T3N2b

A Figura 6.1 ilustra um paciente com carcinoma espinocelular (CEC) de língua oral, estadiamento patológico T3N2b, pós-glossectomia parcial com margens cirúrgicas microscopicamente positivas. O CTV66 (vermelho) cobre a região da margem positiva. O CTV60 (verde) abrange o leito cirúrgico completo, e o CTV54 (azul) inclui os níveis linfonodais cervicais.
No lado ipsilateral, níveis I a V são incluídos. No contralateral sem doença, níveis I a IV. A cobertura do nível V é recomendada para tumores primários de língua oral, especialmente após manipulação cirúrgica do pescoço e na presença de doença nodal ipsilateral. O nível IA deve ser coberto sistematicamente em tumores de língua oral.
Quando há preocupação com envolvimento de tecidos moles superficiais, bolus e flash são recomendados. O espaço retroestilóideo ipsilateral é zona de risco para metástase nodal, particularmente quando há comprometimento do nível II. Os linfonodos retrofaríngeos apresentam baixo risco e geralmente não são incluídos. A cobertura do nível VI é fortemente recomendada em pacientes com doença nodal positiva.
Caso Clínico: Mucosa Jugal T4aN0
A Figura 6.2 mostra um paciente com CEC de mucosa jugal, T4aN0, com invasão cortical óssea mínima, pós-ressecção tumoral com mandibulectomia marginal e esvaziamento cervical esquerdo. Margens amplamente livres. O CTV60 (verde) cobre o leito operatório com níveis I a IV ipsilaterais.
O CTV se estende cranialmente até o sulco vestíbulo-gengival e fossa infratemporal, caudalmente até o sulco vestíbulo-gengival e glândula submandibular, anteriormente até pelo menos a comissura labial, e posteriormente até o trígono retromolar. Bolus é posicionado sobre a pele para garantir dose adequada no CTV de alto risco. A inclusão da parótida ipsilateral deve ser considerada quando há preocupação clínica. Esse padrão de extensão do volume deve ser considerado também nos tumores sinonasais, que compartilham proximidade anatômica.
Caso Clínico: Trígono Retromolar T4aN2b

A Figura 6.3 demonstra um CEC de trígono retromolar, T4aN2b, com envolvimento do pterigoide medial, pós-ressecção com doença residual macroscópica e esvaziamento cervical direito. O CTV70 (vermelho sombreado) é delineado com base nos achados operatórios e nas imagens pré e pós-operatórias.
O CTV59,4 é mostrado em vermelho (região tumoral) e verde (pescoço ipsilateral). O CTV54 (azul) inclui os níveis IB a IV contralaterais.

A fossa pterigopalatina funciona como porta de entrada para disseminação tumoral até a fossa craniana média. Sua cobertura adequada é essencial quando há invasão do músculo pterigoide. Os volumes pós-operatórios devem incluir todo o leito cirúrgico, com visualização da inflamação e edema tecidual na TC de planejamento — achados que delimitam as áreas de manipulação cirúrgica.
Caso Clínico: Gengiva T4aN1 com Invasão Óssea

A Figura 6.4 mostra um CEC de gengiva, T4aN1, com invasão óssea, pós-ressecção tumoral com mandibulectomia marginal e esvaziamento cervical esquerdo. O CTV66 (vermelho) cobre a região de invasão óssea pelo tumor. O CTV60 (verde) inclui todo o leito operatório e os níveis I a IV ipsilaterais.

O CTV54 (azul) abrange os níveis I a IV contralaterais. A decisão de incluir o pescoço contralateral foi baseada na doença nodal positiva (N1) e no estadiamento T4 — ambos fatores que elevam o risco de comprometimento contralateral. Em tumores de gengiva bem lateralizados e com estadiamento mais favorável, essa cobertura poderia ser omitida.
Caso Clínico: Mucosa Jugal T2N3b com Extensão Extranodal

A Figura 6.5 apresenta um CEC de mucosa jugal, T2N3b, pós-ressecção com esvaziamento cervical direito e extensão extranodal no nível IB. Margens negativas, porém próximas na margem profunda. O CTV66 (vermelho) cobre a região nodal com extensão extranodal.
O CTV60 inclui o leito operatório e toda a mucosa jugal, com níveis I a IV ipsilaterais. A extensão do CTV vai cranialmente até o sulco vestíbulo-gengival e fossa infratemporal na altura da borda orbital inferior, caudalmente até o sulco vestíbulo-gengival e glândula submandibular, anteriormente até a comissura labial, e posteriormente até o trígono retromolar. Margens amplas são necessárias mesmo para tumores primários menores. Bolus cutâneo é colocado para cobertura adequada dos CTVs de alto e intermediário risco.
O CTV54 inclui os níveis I a III contralaterais, devido à extensão da doença nodal no pescoço ipsilateral. Esse caso ilustra como a presença de extensão extranodal amplia significativamente os volumes necessários.
Caso Clínico: Assoalho da Boca T4aN2b

A Figura 6.6 demonstra um CEC de assoalho da boca, T4aN2b, com invasão mandibular, pós-hemimandibulectomia direita e esvaziamento cervical bilateral. O CTV66 (vermelho) abrange a área de extensa invasão óssea. O CTV60 (verde) inclui todo o leito operatório e os níveis I a V no lado ipsilateral.
O espaço retroestilóideo ipsilateral é incluído no CTV60 como área de alto risco para metástase nodal, especialmente com comprometimento do nível II. O CTV60 também é estendido para incluir todo o complexo do assoalho da boca. O CTV54 (azul) inclui os níveis I a IV contralaterais.
Este caso demonstra como a invasão mandibular extensa exige delineamento agressivo da região de alto risco, enquanto a doença nodal bilateral justifica cobertura cervical ampla. Na prática, o tratamento do assoalho da boca frequentemente exige técnicas de IMRT com planejamento cuidadoso para limitar dose em mandíbula remanescente, glândulas salivares e via aérea.
Considerações Práticas de Planejamento
Alguns aspectos práticos merecem destaque no planejamento de radioterapia para cavidade oral. A escolha entre tratamento definitivo e pós-operatório depende de fatores como ressecabilidade, status funcional e preferência institucional. Na maioria dos centros, tumores T1-T2 ressecáveis são tratados cirurgicamente com radioterapia adjuvante quando indicada, enquanto tumores localmente avançados (T3-T4) frequentemente exigem abordagem combinada.
O uso de bolus de tecido-equivalente merece atenção especial. Nos casos com extensão extranodal, cicatrizes cirúrgicas em áreas de risco e envolvimento de tecidos moles superficiais, o bolus é essencial para garantir que a dose prescrita alcance a superfície cutânea. Sem ele, o efeito de build-up dos feixes de fótons pode subdosar a pele e tecido subcutâneo — justamente as regiões onde a recidiva local é mais temida.
A marcação com fio radiopaco de cicatrizes e drenos durante a simulação é um passo simples mas frequentemente negligenciado. Essa marcação permite que o planejador identifique com precisão as áreas de manipulação cirúrgica na TC, facilitando a expansão adequada dos volumes pós-operatórios. Na experiência clínica, casos em que essa marcação foi omitida resultaram em incerteza quanto à localização exata do leito operatório.
O espaço retroestilóideo e os linfonodos retrofaríngeos representam decisões distintas. O espaço retroestilóideo ipsilateral deve ser incluído nos volumes de intermediário a alto risco quando há comprometimento do nível II, pois funciona como extensão natural da cadeia cervical alta. Já os linfonodos retrofaríngeos são geralmente de baixo risco na cavidade oral e não precisam de cobertura rotineira — diferentemente do que ocorre na nasofaringe ou orofaringe.
A inclusão do nível VI é uma recomendação que vem ganhando força. Esse nível, localizado no compartimento central do pescoço, representa um sítio de drenagem real para tumores de língua oral, e sua omissão em pacientes com doença nodal positiva pode deixar uma lacuna significativa na cobertura.
Para aprofundar o entendimento sobre volumes-alvo em regiões vizinhas de cabeça e pescoço, consulte também nossos artigos sobre câncer de laringe, carcinoma de hipofaringe e tumores sinonasais.




