La delineación de volúmenes blanco en cánceres de cavidad oral requiere un conocimiento anatómico profundo y una correlación precisa con las imágenes diagnósticas. Los tumores de esta región — lengua oral, mucosa yugal, piso de boca, encía, paladar duro y trígono retromolar — presentan patrones de diseminación distintos, y la definición correcta de los CTVs determina el equilibrio entre control tumoral y preservación funcional. Este artículo detalla las directrices de delineación, dosis y volúmenes tanto para tratamiento definitivo como postoperatorio, basándose en Target Volume Delineation and Field Setup, 2ª edición.
Para una visión completa de todas las regiones anatómicas cubiertas en esta serie, consulte nuestra guía completa sobre delineación de volumen blanco en radioterapia.
En Este Artículo
- Evaluación por Imagen y Simulación
- Volúmenes Blanco en Tratamiento Definitivo
- Volúmenes Blanco en Tratamiento Postoperatorio
- Directrices por Subsitio de la Cavidad Oral
- Caso Clínico: Carcinoma de Lengua Oral
- Caso Clínico: Mucosa Yugal
- Caso Clínico: Trígono Retromolar
- Caso Clínico: Encía con Invasión Ósea
- Caso Clínico: Mucosa Yugal con Extensión Extranodal
- Caso Clínico: Piso de Boca
Evaluación por Imagen y Simulación
Todo paciente con cáncer de cavidad oral debe someterse a un examen oral completo, biopsia y estudios de imagen para estadificación antes de la planificación del tratamiento. La tomografía computarizada (TC) con contraste intravenoso es el estándar para evaluar la extensión local del tumor y el compromiso ganglionar cervical. La TC es especialmente valiosa para detectar invasión mandibular, maxilar y de la fosa pterigopalatina — localizaciones donde la decisión de incluir o excluir estructuras óseas en el CTV cambia fundamentalmente el plan de tratamiento.
La resonancia magnética (RM) es superior a la TC para evaluar extensión en tejidos blandos y diseminación perineural. En la práctica, cuando existe sospecha de compromiso del nervio alveolar inferior o de la rama mandibular del trigémino, la RM es indispensable. El PET-CT resulta útil para evaluar ganglios regionales y descartar enfermedad a distancia, siendo particularmente relevante en estadificaciones avanzadas.
La simulación por TC con contraste IV se realiza con el paciente en posición supina, cuello levemente hiperextendido, utilizando máscara termoplástica de cinco puntos. Un bite block puede posicionarse para deprimir la lengua y protruir el labio inferior, a la vez que eleva el paladar duro — maniobra que desplaza tejidos normales fuera del volumen de tratamiento. Un alambre radiopaco debe marcar las cicatrices quirúrgicas y sitios de drenaje. Cuando existe extensión extranodal o la cicatriz está en riesgo, el bolus de tejido equivalente asegura cobertura adecuada de la superficie.
Volúmenes Blanco en Tratamiento Definitivo

En el escenario definitivo, tres niveles de CTV estructuran la prescripción. El GTV70 abarca toda la enfermedad macroscópica visible en el examen físico e imágenes. El CTV70 es idéntico al GTV70, aunque puede agregarse un margen de 5 mm — excluyendo hueso — cuando existe incertidumbre sobre la extensión real de la enfermedad.
El CTV59,4 (alto riesgo subclínico) debe englobar completamente el CTV70 y cubrir todo el subsitio anatómico de origen. Si el tumor es de lengua oral, toda la lengua oral entra en este volumen. Si es de mucosa yugal, toda la mucosa yugal. Además, los niveles ganglionares con compromiso patológico y los niveles ipsi o contralaterales adyacentes con alto riesgo de enfermedad subclínica deben incluirse.
El CTV54 (bajo riesgo) cubre niveles ganglionares ipsi y/o contralaterales no comprometidos, con bajo riesgo de enfermedad subclínica.
Tabla de Volúmenes y Dosis — Tratamiento Definitivo
| Volumen blanco | Definición y descripción |
|---|---|
| GTV70 | Primario: toda enfermedad macroscópica en examen e imagen. Cuello: toda enfermedad ganglionar macroscópica. |
| CTV70 | Idéntico al GTV70; margen de 5 mm (excluyendo hueso) si existe incertidumbre sobre extensión. |
| CTV59,4 | Primario: CTV70 + subsitio anatómico completo. Cuello: niveles con enfermedad + niveles adyacentes de alto riesgo subclínico. |
| CTV54 | Niveles ganglionares ipsi y/o contralaterales sin compromiso, con bajo riesgo de enfermedad subclínica. |
PTV70 = 69,96 Gy en 2,12 Gy/fracción; PTV59,4 = 59,4 Gy en 1,8 Gy/fracción; PTV54 = 54 Gy en 1,64 Gy/fracción. Alternativa: 70 Gy en 2 Gy/fracción con boost secuencial o integrado simultáneo. Fuente: Target Volume Delineation and Field Setup, 2nd Edition (Table 6.1).
Volúmenes Blanco en Tratamiento Postoperatorio

En el escenario postoperatorio, la jerarquía cambia. El CTV66 cubre regiones de márgenes microscópicamente positivos o extensión extracapsular — situaciones que comprobadamente elevan el riesgo de recidiva local. El CTV60 engloba la enfermedad macroscópica preoperatoria, todo el lecho operatorio y el subsitio anatómico relevante, junto con los niveles ganglionares de alto riesgo. El CTV54 sigue la misma lógica del escenario definitivo: niveles de bajo riesgo subclínico.
Si existe enfermedad residual macroscópica, el GTV debe delinearse separadamente. Las dosis postoperatorias son: PTV66 = 66 Gy en 2,2–2,0 Gy/fracción; PTV60 = 60 Gy en 2 Gy/fracción; PTV54 = 54 Gy en 1,8 Gy/fracción.
Tabla de Volúmenes y Dosis — Tratamiento Postoperatorio
| Volumen blanco | Definición y descripción |
|---|---|
| CTV66 | Primario: regiones de invasión de tejidos blandos/hueso o márgenes microscópicamente positivos. Cuello: regiones de extensión extracapsular. |
| CTV60 | Primario: enfermedad macroscópica preoperatoria + lecho operatorio completo + subsitio anatómico entero. Cuello: enfermedad preoperatoria + lecho operatorio + niveles de alto riesgo subclínico. |
| CTV54 | Niveles ganglionares ipsi y/o contralaterales sin compromiso, con bajo riesgo de enfermedad subclínica. |
Si existe enfermedad residual macroscópica: delinear GTV separadamente. PTV66 = 66 Gy en 2,2–2,0 Gy/fracción; PTV60 = 60 Gy en 2 Gy/fracción; PTV54 = 54 Gy en 1,8 Gy/fracción. Fuente: Target Volume Delineation and Field Setup, 2nd Edition (Table 6.2).
Directrices por Subsitio de la Cavidad Oral
Cada subsitio de la cavidad oral posee patrones de drenaje linfático y diseminación local propios, lo que exige adaptaciones específicas en los volúmenes blanco. La tabla siguiente sintetiza las recomendaciones por sitio y estadio, diferenciando entre volúmenes de alto y bajo riesgo subclínico. Para tumores bien lateralizados de mucosa yugal, encía o trígono retromolar, el tratamiento del cuello contralateral puede omitirse a criterio del radioterapeuta. Los tumores de paladar duro son típicamente de origen salival (como el carcinoma adenoide quístico), y la cobertura del trayecto de los nervios trigeminales debe ser considerada — mientras que la cobertura cervical puede dispensarse por la baja tasa de diseminación nodal de estos tumores.
Atención especial para la lengua oral: el nivel VI es sitio de drenaje y se recomienda enfáticamente su inclusión, especialmente en enfermedad con compromiso ganglionar positivo. Esta recomendación se extiende al escenario de extensión extranodal, como se discute en nuestros artículos sobre cáncer de laringe y carcinoma de hipofaringe.
Tabla de Directrices por Subsitio
| Subsitio | Estadio | CTV alto riesgo (CTV59,4 o CTV60) | CTV bajo riesgo (CTV54) |
|---|---|---|---|
| Lengua oral, piso de boca | T1–T4N0 | Lecho tumoral, lengua oral completa, base de lengua, niveles I–IV bilaterales a criterio médico | Niveles I–IV bilaterales a criterio médico. Cobertura profiláctica del nivel VI cuando indicado. |
| T1–T4N1–3 | Ídem + inclusión del nivel VI | Ídem + nivel VI | |
| Mucosa yugal, trígono retromolar, paladar duro, encía | T1–T2N0 | Lecho tumoral + niveles I–IV ipsilaterales a criterio médico | Niveles I–IV ipsilaterales a criterio médico |
| T3–T4N0 | Lecho tumoral + niveles I–IV ipsilaterales | Niveles II–IV contralaterales | |
| T1–T4N1–3 | Lecho tumoral + niveles I–V ipsilaterales o bilaterales si contralateral comprometido | Niveles II–IV contralaterales si no comprometidos |
66 Gy para márgenes positivos o extensión extracapsular; 70 Gy si enfermedad residual macroscópica. Para tumores bien lateralizados de mucosa yugal/encía/trígono retromolar, cuello contralateral puede omitirse. Paladar duro: cobertura del trayecto trigeminal; cuello puede omitirse. Fuente: Target Volume Delineation and Field Setup, 2nd Edition (Table 6.3).
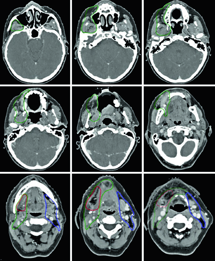
Caso Clínico: Carcinoma de Lengua Oral T3N2b

La Figura 6.1 ilustra un paciente con carcinoma espinocelular (CEC) de lengua oral, estadio patológico T3N2b, post-glosectomía parcial con márgenes quirúrgicos microscópicamente positivos. El CTV66 (rojo) cubre la región del margen positivo. El CTV60 (verde) abarca todo el lecho quirúrgico, y el CTV54 (azul) incluye los niveles ganglionares cervicales.
En el lado ipsilateral se incluyen los niveles I a V. En el contralateral sin enfermedad, niveles I a IV. La cobertura del nivel V se recomienda para tumores primarios de lengua oral, especialmente tras manipulación quirúrgica del cuello y en presencia de enfermedad ganglionar ipsilateral. El nivel IA debe cubrirse sistemáticamente.
Cuando existe preocupación por compromiso de tejidos blandos superficiales, se recomiendan bolus y flash. El espacio retroestiloideo ipsilateral es zona de riesgo para metástasis ganglionar, particularmente con compromiso del nivel II. Los ganglios retrofaríngeos presentan bajo riesgo y generalmente no se incluyen. La cobertura del nivel VI se recomienda enfáticamente en pacientes con enfermedad ganglionar positiva.
Caso Clínico: Mucosa Yugal T4aN0
La Figura 6.2 muestra un paciente con CEC de mucosa yugal, T4aN0, con invasión cortical ósea mínima, post-resección tumoral con mandibulectomía marginal y vaciamiento cervical izquierdo. Márgenes ampliamente libres. El CTV60 (verde) cubre el lecho operatorio con niveles I a IV ipsilaterales.
El CTV se extiende cranealmente hasta el surco vestíbulo-gingival y fosa infratemporal, caudalmente hasta el surco vestíbulo-gingival y glándula submandibular, anteriormente hasta al menos la comisura labial, y posteriormente hasta el trígono retromolar. Se coloca bolus sobre la piel para garantizar dosis adecuada en el CTV de alto riesgo. Debe considerarse la inclusión de la parótida ipsilateral cuando exista preocupación clínica. Este patrón de extensión del volumen es también relevante para los tumores sinonasales, que comparten proximidad anatómica.
Caso Clínico: Trígono Retromolar T4aN2b

La Figura 6.3 demuestra un CEC de trígono retromolar, T4aN2b, con compromiso del pterigoideo medial, post-resección con enfermedad residual macroscópica y vaciamiento cervical derecho. El CTV70 (rojo sombreado) se delinea basándose en los hallazgos operatorios y las imágenes pre y postoperatorias.
El CTV59,4 se muestra en rojo (región tumoral) y verde (cuello ipsilateral). El CTV54 (azul) incluye los niveles IB a IV contralaterales.

La fosa pterigopalatina funciona como puerta de entrada para la diseminación tumoral hacia la fosa craneal media. Su cobertura adecuada es esencial cuando existe invasión del músculo pterigoideo. Los volúmenes postoperatorios deben incluir todo el lecho quirúrgico, utilizando la inflamación y edema tisular en la TC de planificación para delimitar las áreas de manipulación quirúrgica.
Caso Clínico: Encía T4aN1 con Invasión Ósea

La Figura 6.4 muestra un CEC de encía, T4aN1, con invasión ósea, post-resección con mandibulectomía marginal y vaciamiento cervical izquierdo. El CTV66 (rojo) cubre la región de invasión ósea. El CTV60 (verde) incluye todo el lecho operatorio y los niveles I a IV ipsilaterales.

El CTV54 (azul) abarca los niveles I a IV contralaterales. La decisión de incluir el cuello contralateral se basó en la enfermedad ganglionar positiva (N1) y el estadio T4 — ambos factores que elevan el riesgo de compromiso contralateral. En tumores de encía bien lateralizados con estadificación más favorable, esta cobertura podría omitirse.
Caso Clínico: Mucosa Yugal T2N3b con Extensión Extranodal

La Figura 6.5 presenta un CEC de mucosa yugal, T2N3b, post-resección con vaciamiento cervical derecho y extensión extranodal en el nivel IB. Márgenes negativos pero próximos en el margen profundo. El CTV66 (rojo) cubre la región ganglionar con extensión extranodal.
El CTV60 incluye el lecho operatorio y toda la mucosa yugal, con niveles I a IV ipsilaterales. El CTV se extiende cranealmente hasta el surco vestíbulo-gingival y fosa infratemporal a la altura del reborde orbitario inferior, caudalmente hasta el surco vestíbulo-gingival y glándula submandibular, anteriormente hasta la comisura labial, y posteriormente hasta el trígono retromolar. Se necesitan márgenes amplios incluso para tumores primarios menores. Se coloca bolus cutáneo para cobertura adecuada de los CTVs de alto e intermedio riesgo.
El CTV54 incluye los niveles I a III contralaterales, debido a la extensión de la enfermedad ganglionar en el cuello ipsilateral. Este caso ilustra cómo la presencia de extensión extranodal amplía significativamente los volúmenes de tratamiento necesarios.
Caso Clínico: Piso de Boca T4aN2b

La Figura 6.6 demuestra un CEC de piso de boca, T4aN2b, con invasión mandibular, post-hemimandibulectomía derecha y vaciamiento cervical bilateral. El CTV66 (rojo) abarca el área de extensa invasión ósea. El CTV60 (verde) incluye todo el lecho operatorio y los niveles I a V en el lado ipsilateral.
El espacio retroestiloideo ipsilateral se incluye en el CTV60 como área de alto riesgo para metástasis ganglionar, especialmente con compromiso del nivel II. El CTV60 también se extiende para incluir todo el complejo del piso de boca. El CTV54 (azul) incluye los niveles I a IV contralaterales.
Este caso demuestra cómo la invasión mandibular extensa exige una delineación agresiva de la región de alto riesgo, mientras que la enfermedad ganglionar bilateral justifica cobertura cervical amplia. En la práctica, el tratamiento del piso de boca frecuentemente requiere técnicas de IMRT con planificación cuidadosa para limitar la dosis en mandíbula remanente, glándulas salivares y vía aérea.
Consideraciones Prácticas de Planificación
Varios aspectos prácticos merecen atención en la planificación de radioterapia para cavidad oral. La elección entre tratamiento definitivo y postoperatorio depende de factores como resecabilidad, estado funcional y preferencia institucional. En la mayoría de los centros, los tumores T1-T2 resecables se manejan quirúrgicamente con radioterapia adyuvante cuando está indicada, mientras que los tumores localmente avanzados (T3-T4) frecuentemente requieren abordajes de modalidad combinada.
El uso de bolus de tejido equivalente merece atención especial. En casos con extensión extranodal, cicatrices quirúrgicas en áreas de riesgo y compromiso superficial de tejidos blandos, el bolus es esencial para garantizar que la dosis prescrita alcance la superficie cutánea. Sin él, el efecto de build-up de los haces de fotones puede subdosificar la piel y tejido subcutáneo — precisamente las regiones donde la recidiva local es más temida.
La marcación con alambre radiopaco de cicatrices y drenajes durante la simulación es un paso simple pero frecuentemente pasado por alto. Esta marcación permite que el planificador identifique con precisión las áreas de manipulación quirúrgica en la TC de planificación, facilitando la expansión adecuada de los volúmenes postoperatorios. En la experiencia clínica, los casos en que esta marcación fue omitida resultaron en incertidumbre sobre la localización exacta del lecho operatorio.
El espacio retroestiloideo y los ganglios retrofaríngeos representan decisiones distintas. El espacio retroestiloideo ipsilateral debe incluirse en los volúmenes de intermedio a alto riesgo cuando el nivel II está comprometido, ya que funciona como extensión natural de la cadena cervical alta. Los ganglios retrofaríngeos, sin embargo, son generalmente de bajo riesgo en la cavidad oral y no requieren cobertura rutinaria — a diferencia de lo que ocurre en la nasofaringe u orofaringe.
La inclusión del nivel VI es una recomendación que viene ganando fuerza. Este nivel, ubicado en el compartimento central del cuello, representa un sitio de drenaje real para tumores de lengua oral, y su omisión en pacientes con enfermedad ganglionar positiva puede dejar una brecha significativa en la cobertura.
Para profundizar en los volúmenes blanco de regiones vecinas de cabeza y cuello, consulte también nuestros artículos sobre cáncer de laringe, carcinoma de hipofaringe y tumores sinonasales.




