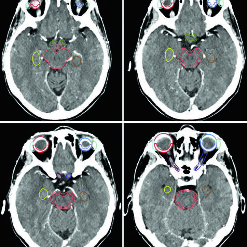
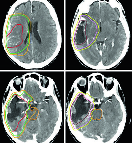
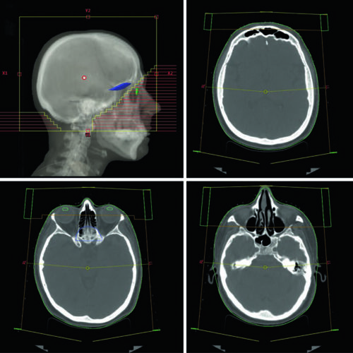
Guias práticos de delineamento de volumes-alvo e órgãos de risco por sítio anatômico na radioterapia.
© 2026 RT Medical Systems. 27.811.939/0001-92 , ANVISA AFE: 8.19324-1 (W491HW8708M9)
Av. Othon Gama D’Eça, 900
Centro, Florianópolis – SC, 88015-240
T: +55 48 3197 3790
E: sales@rtmedical.com.br