Radioterapia no Linfoma: Da EFRT à ISRT Moderna
O delineamento de campo na radioterapia para linfoma de Hodgkin (LH) e linfoma não Hodgkin (LNH) passou por uma transformação significativa nas últimas duas décadas. A antiga radioterapia de campo estendido (EFRT), usada como tratamento definitivo sem quimioterapia, deu lugar à radioterapia de campo envolvido (IFRT) com a adoção de terapia combinada. Hoje, a radioterapia de sítio envolvido (ISRT) é o padrão recomendado pelas diretrizes internacionais do ILROG.

A ISRT reduz ainda mais os volumes tratados em comparação com a IFRT, focando na extensão original da doença com margens que compensam limitações da imagem. A motivação é clara: minimizar os efeitos tardios do tratamento e melhorar a qualidade de vida dos sobreviventes, especialmente considerando que muitos pacientes com linfoma são jovens adultos com expectativa de vida longa.
Quando o oncologista avalia o paciente antes da imagem diagnóstica, pode-se empregar a técnica de radioterapia de linfonodo envolvido (INRT). Os princípios de delineamento para INRT e ISRT são semelhantes, mas as margens da ISRT devem ser maiores por conta de incertezas no registro de imagem. Na Europa, onde PET-CT pré-quimioterapia na mesma posição do tratamento é rotina, a INRT prevalece. Na América do Norte, a ISRT permanece o padrão na maioria dos serviços. Para uma visão completa das abordagens de delineamento, confira nosso guia completo sobre delineamento de volumes-alvo.
Princípios de Delineamento: GTV, CTV, ITV e PTV
A simulação para ISRT exige planejamento tridimensional — CT simulador, PET/CT ou RM. Contraste intravenoso deve ser usado sempre que possível para identificar vasos com precisão. Quando a RT consolida resposta após quimioterapia, o PET-CT pré e pós-quimioterapia precisa ser fusionado com a CT de simulação no sistema de planejamento.
O delineamento segue a nomenclatura do ICRU Report 83:
- GTV pré-quimioterapia — toda a doença macroscópica visível na imagem inicial.
- GTV pós-quimioterapia — doença residual na simulação.
- CTV — volume que engloba a extensão superior e inferior do GTV pré-quimioterapia, com limites radiais que respeitam estruturas normais não envolvidas (pulmões, rins, músculos). Tipicamente, o CTV estende-se 1–2 cm além do GTV pré-quimio nas direções craniocaudal. Volumes nodais separados por mais de 5 cm podem ser tratados como campos distintos.
- ITV — CTV acrescido de margem para movimento respiratório, conforme ICRU Report 83. Uma simulação 4D-CT é ideal; sem ela, margens de 1,5 a 2 cm podem ser necessárias no tórax e abdome superior.
- PTV — margem institucional para incertezas de setup e imobilização.

O CTV para ISRT tende a ser maior que o da INRT pela falta de imagem pré-tratamento otimizada. Quando a RT é usada como modalidade única em LNH indolente estádio inicial ou LH nodular de predominância linfocitária, o CTV deve ser mais generoso por causa da maior preocupação com doença subclínica sem quimioterapia prévia.
Casos Clínicos: Delineamento por Subtipo e Estádio
LH Estádio Inicial Favorável
O caso clássico é um homem de 27 anos com LH esclerose nodular estádio IIA, não bulky, risco favorável, envolvendo regiões supraclavicular esquerda e mediastinal. Após 2 ciclos de ABVD, o PET pós-quimioterapia mostrou resposta metabólica completa (Deauville 2). Seguindo os critérios do H10 (German Hodgkin Study Group), foi tratado com 20 Gy de RT.
Para o delineamento, o PET/CT pré-quimioterapia foi registrado com a CT de simulação. A mudança no posicionamento dos braços, pescoço hiperestendido e máscara de 5 pontos retraindo os ombros gera diferenças anatômicas entre os exames — e exatamente essa incerteza justifica a abordagem ISRT. O paciente usou técnica de breath-hold, então não há expansão do CTV para ITV.
LH Avançado com Doença Bulky
Uma mulher de 31 anos com LH esclerose nodular estádio IIB bulky envolvendo linfonodos cervicais, supraclaviculares, mediastinais e hilares bilaterais recebeu 2 ciclos de ABVD (resposta completa no PET interim, Deauville 2), seguidos de 4 ciclos de AVD (Bleomicina descontinuada por toxicidade pulmonar). A RT consolidativa foi indicada pela doença bulky inicial.

O ITV final foi obtido por 4D-CT na simulação, contabilizando variações anatômicas respiratórias. A prescrição foi feita ao ITV mais a margem de PTV institucional. Esse caso demonstra como a ISRT adapta-se à anatomia pós-quimioterapia: o CTV respeita a extensão craniocaudal do GTV pré-quimio enquanto limita a exposição radial das estruturas normais adjacentes.
LH Nodular de Predominância Linfocitária (NLPHL)
Um homem de 61 anos com NLPHL estádio IIA envolvendo linfonodos supraclavicular direito, subpeitoral e axilar foi tratado com RT definitiva isolada. Simulado com braços elevados em wingboard. O PET diagnóstico foi fusionado à CT de simulação. Como a RT foi modalidade única (sem quimioterapia), margens de CTV mais generosas foram necessárias para cobrir potencial doença subclínica.
DLBCL de Cabeça e Pescoço

Uma mulher de 47 anos com DLBCL estádio IIA de tonsila esquerda e pescoço esquerdo (nível 2, 5,6 cm) recebeu 3 ciclos de R-CHOP seguidos de RT consolidativa. Simulada com pescoço em extensão, imobilizada com máscara aquaplast de 5 pontos. O CTV ISRT cobre toda a tonsila esquerda e o nível ganglionar envolvido, incluindo 1–2 cm superior e inferior à extensão pré-quimioterapia. Casos de linfoma de cabeça e pescoço exigem atenção especial ao registro entre PET diagnóstico e CT de simulação.
Linfoma Folicular Inguinal

Um homem de 70 anos com linfoma folicular grau I/II estádio IA da região inguinal/femoral esquerda foi tratado com RT definitiva isolada. O PET diagnóstico foi fusionado à CT de simulação. Bolus foi usado para aumentar a dose superficial e melhorar a cobertura dosimétrica — detalhe frequentemente esquecido em lesões subcutâneas inguinais.
Sítios Extranodais: Inguinal, Gástrico e Orbital
Linfoma Inguinal e Pélvico
A simulação deve ser feita em posição de “pernas de rã” para separar a coxa da genitália externa e aplainar pregas cutâneas inguinais, minimizando reações de pele. Em homens, blindar os testículos com clamshell e recomendar criopreservação de esperma. Em mulheres em idade reprodutiva, considerar a posição dos ovários. Técnicas modernas como 3DCRT e IMRT são recomendadas, com adição de bolus quando necessário para dose superficial.
Linfoma Gástrico
Os pacientes devem fazer jejum de 3–4 horas antes da simulação e de cada fração para diminuir a motilidade gástrica. Contraste oral é obrigatório em todos os casos e IV é recomendado quando há linfonodos envolvidos. A simulação usa braços elevados com molde customizado. O movimento respiratório deve ser avaliado por 4D-CT, e o tratamento com breath-hold em inspiração profunda (DIBH) deve ser considerado.

Técnicas conformacionais 3DCRT e IMRT são recomendadas para poupar rim e fígado. Os volumes-alvo sugeridos para linfoma gástrico são detalhados na tabela abaixo.
Volumes-Alvo Sugeridos para Sítios Extranodais
| Sítio | Definição dos Volumes |
|---|---|
| Gástrico | GTV = doença macroscópica; CTV = GTV + estômago da junção gastroesofágica à gastroduodenal; PTV = CTV + 2 cm (avaliar 4D-CT) |
| Orbital | GTV = doença macroscópica; CTV = GTV + órbita inteira; PTV = CTV + 5 mm |
| Sinonasal | CTV = GTV pré-quimio + seio(s) envolvido(s) completo(s); PTV = CTV + 4–5 mm (conforme técnica de setup) |
Fonte: Target Volume Delineation and Field Setup, 2nd Edition (Tabela 31.1)
Na prática, a margem de 2 cm do PTV gástrico pode não ser suficiente em alguns pacientes — o grau de motilidade do estômago varia muito, e a avaliação por 4D-CT é decisiva para definir a expansão adequada.
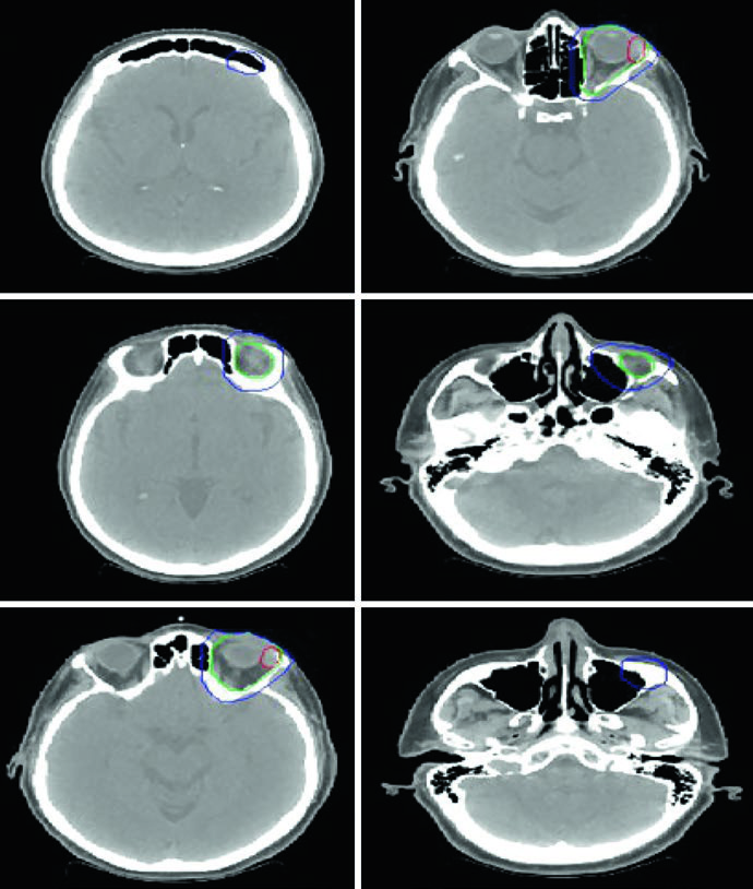
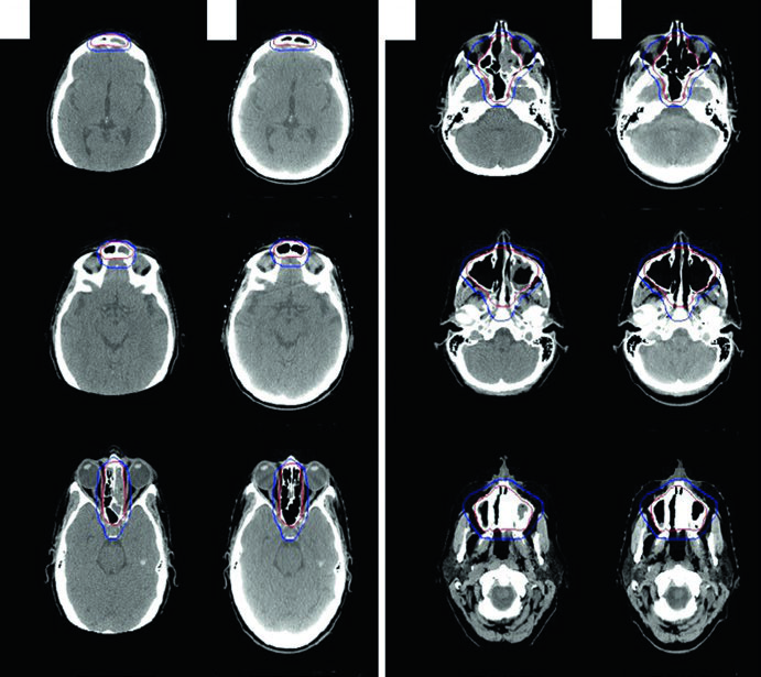
Linfoma Orbital e Sinonasal

A simulação é feita em decúbito dorsal, braços ao lado do corpo e imobilização com máscara termoplástica. Para linfoma orbital, as opções técnicas incluem par de cunhas superior-inferior, 3DCRT ou IMRT. Bolus pode aumentar a dose superficial em doença localizada de tecidos moles. Quando a dose prescrita alcança 30 Gy ou mais, considerar blindagem da glândula lacrimal.
Em doença indolente limitada da conjuntiva, o tratamento com feixe de elétrons anterior ou energia mista elétrons/fótons é uma alternativa, com blindagem do cristalino se o tumor estiver na periferia. Para linfomas sinonasais, 3DCRT ou IMRT é recomendada pelas doses mais altas necessárias e pela proximidade de estruturas críticas.

O caso ilustrativo é uma mulher de 56 anos com DLBCL de seio etmoide/esfenoide esquerdo, com extensão para a cavidade nasal direita cruzando o septo, erosão da placa cribriforme superiormente, erosão da parede orbital medial esquerda lateralmente e extensão para o seio maxilar esquerdo inferiormente. O seio frontal esquerdo estava completamente opacificado. Após ressecção quase total e 3 ciclos de R-CHOP, a RT consolidativa foi administrada com CTV ISRT cobrindo a totalidade dos seios envolvidos. A abordagem de delineamento de tumores da cavidade nasal e seios paranasais segue princípios semelhantes.
Considerações Práticas e Recomendações
A qualidade do registro entre imagem pré-quimioterapia e CT de simulação é o fator crítico que define se as margens de ISRT podem ser minimizadas ou devem permanecer generosas. Quando o PET-CT pré-quimioterapia é adquirido na mesma posição do tratamento — como ocorre em centros europeus especializados — a transição para INRT é natural e oferece campos ainda menores.
Na prática brasileira, onde nem sempre o PET pré-quimioterapia é feito com o paciente posicionado como na simulação, a ISRT com margens de 1–2 cm craniocaudais continua sendo a abordagem mais segura. O uso consistente de 4D-CT para lesões no tórax e abdome superior é altamente recomendável, já que margens de 1,5–2 cm podem ser necessárias sem essa informação.
Para planejamento detalhado de sítios como câncer gástrico e metástases cerebrais, outros artigos desta série aprofundam aspectos específicos de cada topografia. O delineamento em linfoma exige integração cuidadosa de dados de imagem multimodal — PET, CT e RM — para equilibrar cobertura tumoral e proteção de tecidos normais.




