Skip to main content
Category

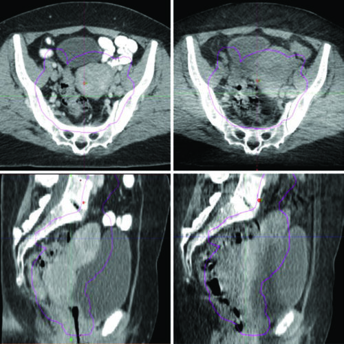
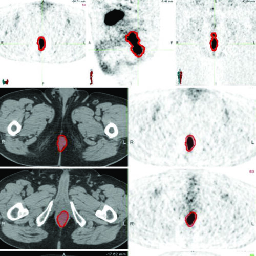
Delineamento de Volumes

Guias práticos de delineamento de volumes-alvo e órgãos de risco por sítio anatômico na radioterapia.