Câncer Retal: Investigação Diagnóstica para Delineamento
O câncer retal exige uma abordagem multidisciplinar rigorosa antes mesmo do primeiro traço no software de planejamento. O exame físico continua sendo peça fundamental: para tumores palpáveis, a distância até a margem anal deve ser registrada com precisão, e a função esfincteriana precisa ser avaliada no momento da consulta. Tumores de localização baixa requerem visualização direta para determinar a relação com a linha denteada, já que esta não é palpável ao toque.

O ultrassom endorretal (EUS) permite avaliar a profundidade de invasão do tumor primário e o status dos linfonodos adjacentes, embora subestime ou superestime o estadiamento em aproximadamente 20% dos casos. Já a ressonância magnética consolidou-se como modalidade padrão para o estadiamento pré-operatório. A RM identifica invasão da gordura mesorretal (T3), comprometimento de estruturas adjacentes (T4), avalia o status linfonodal, verifica a distância da margem anal e determina a operabilidade com margens negativas.
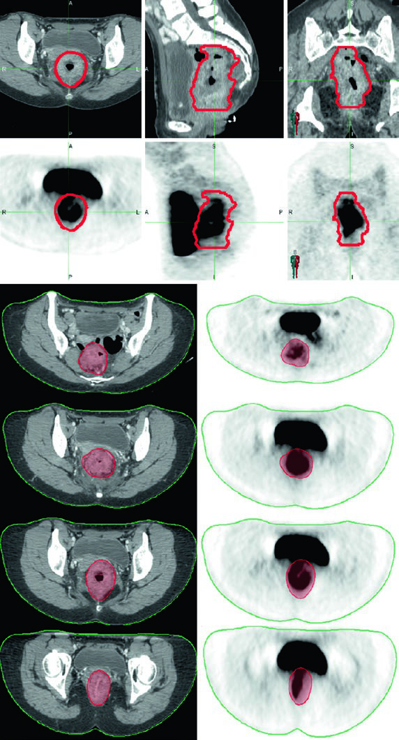
O PET/CT pode auxiliar no delineamento da doença macroscópica, mas áreas de baixa captação do radiotraçador não devem se sobrepor aos achados do exame físico, endoscopia ou CT/RM. Na prática, a fusão de imagens PET/CT com o planejamento é mais útil para confirmar a extensão do GTV do que para substituir os outros métodos de imagem.

Para uma visão abrangente sobre delineamento de volumes alvo em diversas localizações anatômicas, confira nosso guia completo sobre delineamento de volume alvo e configuração de campos.
Simulação e Localização Diária no Câncer Retal
A escolha do posicionamento depende diretamente da técnica de tratamento. Na radioterapia conformacional 3D, a simulação em decúbito ventral sobre belly board desloca o intestino delgado anteriormente, reduzindo a dose nessa estrutura crítica. Quando o planejamento utiliza IMRT, a recomendação é posicionar o paciente em decúbito dorsal com molde corporal, garantindo reprodutibilidade do setup. Um marcador radiopaco deve ser colocado na margem anal, e cicatrizes cirúrgicas devem ser marcadas com fio metálico.
A simulação por CT com contraste intravenoso e espessura de corte de no máximo 3 mm é mandatória. Contraste oral pode ajudar a delinear o intestino delgado. A fusão com PET/CT ou RM diagnóstica melhora a precisão do delineamento. O enchimento vesical merece atenção especial: bexiga cheia reduz o volume de alça intestinal na pelve, enquanto bexiga vazia oferece maior reprodutibilidade.
Para verificação do alinhamento, recomenda-se imagem guiada com kV ortogonal diário e CBCT semanal para avaliar tecidos moles, ajustando conforme a reprodutibilidade do setup.
Volumes Alvo e Planejamento: Campos Conformacionais 3D

A radioterapia conformacional 3D clássica para câncer retal utiliza um campo PA e dois campos laterais opostos antes do cone-down. As bordas tradicionais do campo PA são: superior no interespaço L5/S1; inferior na borda inferior do forame obturador ou 3 cm abaixo do GTV (o que for mais distal); lateral 1,5 a 2 cm lateral ao rebordo pélvico.
Para os campos laterais, as bordas incluem: superior e inferior iguais ao campo PA; anterior na margem posterior da sínfise púbica (referência óssea para linfonodos ilíacos internos) em doença T1-T3, ou pelo menos 1 cm anterior à borda anterior da sínfise púbica (referência para linfonodos ilíacos externos) em tumores T4; posterior 1 a 1,5 cm atrás da borda posterior do sacro ósseo.

Com o planejamento baseado em CT, essas bordas podem ser modificadas para garantir cobertura adequada do PTV. Os volumes-alvo — incluindo GTV primário e nodal, CTVs e PTV — devem ser delineados em cada corte aplicável da CT de planejamento.
Definição dos Volumes de Tratamento: GTV, CTV-HR e CTV-SR
O GTV primário (GTV-P) engloba toda a doença macroscópica identificada no exame físico, endoscopia e exames de imagem. O GTV nodal (GTV-N) inclui todos os linfonodos perirretais, messorretais e ilíacos comprometidos. Na ausência de biópsia, linfonodos duvidosos devem ser incluídos como GTV. Tumores retais baixos exigem atenção aos linfonodos inguinais, e tumores com invasão anterior em órgãos adjacentes requerem avaliação dos linfonodos ilíacos externos.
O CTV de alto risco (CTV-HR) deve incluir o GTV com margem mínima de 1,5 a 2 cm superior e inferiormente, além de todo o reto, mesorreto e espaço pré-sacral. Para linfonodos ilíacos externos ou inguinais macroscopicamente comprometidos, a margem GTV-para-CTV deve ser de no mínimo 10 a 15 mm. Em tumores T4, adiciona-se margem de 1 a 2 cm nos órgãos adjacentes invadidos (bexiga, próstata, cérvix).

O CTV de risco padrão (CTV-SR) cobre o CTV-HR completo, todo o mesorreto e os linfonodos ilíacos internos bilaterais. A inclusão dos linfonodos ilíacos externos e obturadores bilaterais é obrigatória para tumores T4 com envolvimento de órgãos anteriores (bexiga, cérvix, próstata). Se o tumor primário se estende inferiormente para o canal anal, os linfonodos ilíacos externos e inguinais bilaterais devem ser incorporados ao CTV-SR.
Volumes Alvo no Cenário Pré-operatório
| Volume Alvo | Definição e Descrição |
|---|---|
| GTV-P | Toda doença macroscópica ao exame físico, endoscopia e imagem |
| GTV-N | Linfonodos perirretais, pré-sacrais e ilíacos comprometidos. Incluir linfonodos duvidosos como GTV na ausência de biópsia. Atenção aos linfonodos inguinais em tumores baixos |
| CTV-HR | GTV-P e GTV-N com margem de 1,5-2 cm superior e inferiormente, excluindo osso, músculo e ar não envolvidos. Margem mínima de 10-15 mm para linfonodos ilíacos externos ou inguinais macroscópicos. Inclusão de reto, mesorreto e espaço pré-sacral no plano axial. Margem de 1-2 cm em órgãos adjacentes para T4 |
| CTV-SR | CTV-HR + mesorreto completo + linfonodos ilíacos internos bilaterais. Ilíacos externos e obturadores para T4 com invasão anterior. Inguinais para tumores com extensão para o canal anal. Superior: interespaço L5/S1 ou 2 cm acima da doença macroscópica. Inferior: assoalho pélvico ou 2 cm abaixo da doença. Margem de 0,7 cm ao redor dos vasos ilíacos internos. Margem anterior de 1-1,5 cm na bexiga |
| PTV | Expansão de 0,5-1 cm de cada CTV, conforme precisão do setup, frequência de imagem e uso de IGRT |
Fonte: Target Volume Delineation and Field Setup, 2nd Edition (Table 18.1)
Cenários Clínicos Específicos de Delineamento

A doença T4 com invasão de órgãos anteriores amplia significativamente o volume de tratamento. Nesse cenário, o CTV-SR precisa cobrir a região dos linfonodos ilíacos externos, e a margem anterior dos campos laterais deve ser ajustada para pelo menos 1 cm anterior à sínfise púbica.

No cenário pós-operatório, o delineamento segue princípios semelhantes ao pré-operatório. Após ressecção abdominoperineal (APR), todo o leito cirúrgico — incluindo a cicatriz perineal — deve ser incluído. Para doença residual macroscópica ou margem positiva, o CTV-P recebe margem de 1 a 2 cm excluindo osso, músculo e ar não envolvidos. O CTV-HR pós-operatório cobre o reto remanescente (se aplicável), o leito mesorretal e o espaço pré-sacral.

O esquema short-course (25 Gy em 5 frações) é uma alternativa validada para câncer retal T3-4 ou N+, com diferenças no delineamento refletidas pelo fracionamento mais agressivo por fração. A abordagem de volumes segue os mesmos princípios anatômicos, mas a margem de segurança ganha importância adicional dado o maior impacto biológico por fração.

Em casos oligometastáticos, como tumores M1a com linfonodos não regionais envolvidos, a estratégia de delineamento incorpora o linfonodo macroscópico com margem adequada de boost, mantendo a cobertura eletiva pélvica padrão.

Tumores retais baixos com envolvimento do canal anal representam um desafio particular. Nesses casos, a cobertura inguinal bilateral se torna obrigatória, e o uso de IMRT é frequentemente necessário para atingir conformidade adequada cobrindo os linfonodos ilíacos externos e inguinais bilaterais. A relação entre o delineamento do câncer anal e o câncer retal baixo merece atenção especial, já que compartilham muitas das mesmas regiões de drenagem nodal.
Atlas de Delineamento RTOG e Diretrizes Internacionais
O atlas de delineamento anorretal do RTOG define três CTVs eletivos. O CTV-A abrange as regiões perirretais, pré-sacrais e ilíacas internas, devendo ser coberto em todos os pacientes com câncer retal. O CTV-B inclui os linfonodos ilíacos externos, cobertos apenas para tumores T4 com invasão de órgãos adjacentes ou com extensão para o canal anal. O CTV-C cobre a região inguinal, apenas para tumores com extensão para o canal anal.
| Subvolume CTV-A | Destaques |
|---|---|
| Pelve inferior | Inferior: 2 cm abaixo da doença macroscópica, incluindo todo o mesorreto até o assoalho pélvico. Lateral: poucos mm além dos músculos levantadores, exceto se há extensão tumoral para a fossa isquiorretal. Margem de 1-2 cm para áreas de invasão em tumores T4 |
| Pelve média | Inclui reto, mesorreto, região dos ilíacos internos e 1 cm de margem na bexiga. Posterolateral até musculatura ou osso da parede pélvica. Anterior: pelo menos 1 cm na bexiga posterior. Margem de 7-8 mm em tecido mole ao redor dos vasos ilíacos internos |
| Pelve superior | Superior (perirrectal): junção retossigmoidiana ou pelo menos 2 cm cefalicamente à doença macroscópica. Superior (nodal): bifurcação dos vasos ilíacos comuns, aproximadamente no promontório sacral. Margem de 7-8 mm ao redor dos vasos ilíacos internos, com pelo menos 1 cm anteriormente |
Fonte: Target Volume Delineation and Field Setup, 2nd Edition (Table 18.3 — RTOG Anorectal Contouring Atlas)
Diretrizes internacionais de consenso mais recentes sugerem subsítios e subvolumes pélvicos com terminologia distinta do atlas RTOG. As principais diferenças incluem recomendações sobre a inclusão do espaço pré-sacral cranial (abdominal), fossa isquiorretal, linfonodos laterais anteriores versus posteriores (obturadores versus ilíacos internos) e a borda cranial para os linfonodos laterais. Com base nessas diretrizes, pode-se considerar omitir os linfonodos laterais superiores à borda cranial do mesorreto para tumores T3N0 sem invasão da fáscia mesorretal. Da mesma forma, em cenários selecionados de tumores T3N0-1, pode-se omitir os linfonodos laterais anteriores. Essas decisões requerem avaliação clínica individualizada.
O atlas do Australasian GI Trials Group descreve sete regiões eletivas para câncer anal, várias delas aplicáveis ao câncer retal: mesorreto, espaço pré-sacral, linfonodos ilíacos internos, fossa isquiorretal, linfonodos obturadores, linfonodos ilíacos externos e linfonodos inguinais.
Dose e Fracionamento no Câncer Retal
Existem múltiplas abordagens aceitáveis para a prescrição de dose no câncer retal. No cenário pré-operatório, a dose mais comum é de 45 Gy a 1,8 Gy/fração para o PTV-SR, seguida de cone-down sequencial de 5,4 Gy a 1,8 Gy/fração, totalizando 50,4 Gy para o PTV-HR. Tumores T4 podem receber boost no PTV-HR até 54 a 55,8 Gy em 30 a 31 frações. Linfonodos macroscopicamente comprometidos que não serão ressecados (por exemplo, inguinais) devem receber boost até aproximadamente 60 Gy em 30 frações, enquanto linfonodos que serão ressecados podem ser tratados com 50,4 Gy.
| Cenário Clínico | PTV-SR | PTV-HR |
|---|---|---|
| Pré-operatório T3 ou N+ | 45 Gy a 1,8 Gy/fx OU 45 Gy a 1,8 Gy/fx (SIB) | 50,4 Gy a 1,8 Gy/fx (CD) OU 50 Gy a 2 Gy/fx (SIB) |
| Pré-operatório T4 N0-2b | 45 Gy a 1,8 Gy/fx OU 45,9 Gy a 1,7 Gy/fx (SIB) | 54-55,8 Gy a 1,8 Gy/fx (CD) OU 54 Gy a 2 Gy/fx (SIB) |
| Pré-operatório short-course (T3-4 ou N+) | 25 Gy a 5 Gy/fx | |
| Pós-operatório (margens negativas) | 45 Gy a 1,8 Gy/fx OU 45,9 Gy a 1,7 Gy/fx (SIB) | 54-55,8 Gy a 1,8 Gy/fx (CD) OU 54 Gy a 2 Gy/fx (SIB) |
| Pós-operatório (doença residual ou margem positiva) | 45 Gy a 1,8 Gy/fx OU 45,9 Gy a 1,7 Gy/fx (SIB) | 54-59,4 Gy a 1,8 Gy/fx (CD) OU 54-60 Gy a 2 Gy/fx (SIB e/ou CD) |
fx = fração; CD = cone-down sequencial; SIB = boost integrado simultâneo. Fonte: Target Volume Delineation and Field Setup, 2nd Edition (Table 18.5)
Com IMRT, o boost integrado simultâneo (SIB) pode ser considerado, simplificando a logística de tratamento ao entregar doses diferenciadas aos volumes de alto e padrão risco em cada sessão. A técnica conformacional 3D utiliza campos laterais opostos com campo PA. Se os linfonodos ilíacos externos precisam ser tratados com essa técnica, a borda anterior dos campos laterais deve ficar aproximadamente 1 cm anterior à borda anterior da sínfise púbica.
O crescente interesse na terapia neoadjuvante total pode significar que o paciente receba quimioterapia sistêmica antes da radioterapia. Até que dados de desfecho mais robustos estejam disponíveis, os volumes tumorais primários e nodais pré-quimioterapia devem ser usados para definir os volumes-alvo. Linfonodos inicialmente suspeitos devem ser incluídos no volume de boost, e margens radiais ameaçadas antes da quimioterapia devem ser incluídas nos volumes de alta dose, mesmo diante de resposta maior ou completa à quimioterapia. Essa abordagem também é relevante em tumores ginecológicos — compare com as estratégias de delineamento ginecológico definitivo com IMRT.
Avaliação do Plano e Restrições de Dose
O objetivo é que pelo menos 95% de cada PTV receba 100% da dose prescrita, com dose máxima no PTV inferior a 110%. Ao avaliar planos com boost sequencial para doença macroscópica, cada plano individual deve ser analisado separadamente antes da soma, verificando hot spots e subcobertura de cada PTV individual.
Os órgãos de risco incluem intestino delgado, intestino grosso, bexiga, cabeças femorais, crista ilíaca e genitália externa. Diretrizes de consenso do RTOG para delineamento dessas estruturas estão disponíveis, e as restrições de dose sugeridas pelo QUANTEC e RTOG 0822 orientam a otimização do plano.
| Órgão de Risco | Restrições de Dose |
|---|---|
| Intestino Delgado | QUANTEC: V15Gy < 120 cc (alças individuais); V45Gy < 195 cc (todo espaço potencial peritoneal) |
| RTOG 0822: V35Gy < 180 cc; V40Gy < 100 cc; V45Gy < 65 cc; Dmax < 50 Gy | |
| Bexiga | QUANTEC: Dmax < 65 Gy; V65Gy < 50% |
| RTOG 0822: V40Gy < 40%; V45Gy < 15%; Dmax < 50 Gy | |
| Cabeças Femorais | RTOG 0822: V40Gy < 40%; V45Gy < 15%; Dmax < 50 Gy |
Fonte: Target Volume Delineation and Field Setup, 2nd Edition (Table 18.6 — QUANTEC e RTOG 0822)
Na prática diária, o intestino delgado costuma ser o fator limitante na otimização de planos pélvicos. O uso de belly board na simulação ventral e protocolos consistentes de enchimento vesical ajudam a manter essas estruturas dentro dos limites aceitáveis. Para mais detalhes sobre planejamento pélvico em outras situações oncológicas, consulte nossos artigos sobre adenocarcinoma de próstata e câncer de bexiga.




