Delineamento de volume alvo no câncer anal: o que guia a prática
O delineamento de volume alvo no câncer anal exige domínio da anatomia do canal anal e de seus padrões de drenagem linfática. O canal anal mede cerca de 4 cm de extensão, indo do anel anorretal (borda palpável do esfíncter anal e do músculo puborretal) proximalmente até a margem anal distalmente. Carcinomas espinocelulares que se originam proximal à margem anal são tratados como câncer de canal anal; os que surgem distal à margem anal são conduzidos como câncer de pele perianal — uma distinção que muda completamente a estratégia de campos.

A linha denteada (ou linha pectínea) demarca a transição do epitélio colunar proximal para o epitélio escamoso distal. Essa fronteira embriológica — junção entre endoderma e ectoderma — é crucial porque define padrões de drenagem linfática completamente diferentes. Tumores proximais drenam preferencialmente para linfonodos perirretais, hemorroidários superiores e ilíacos internos. Tumores distais, por outro lado, drenam para linfonodos inguinais superficiais, femorais e ilíacos externos.
Para uma visão integrada de todos os sítios anatômicos e suas estratégias de planejamento, confira nosso guia completo sobre delineamento de volumes-alvo e configuração de campos.
Drenagem Linfática: A Base do Planejamento Nodal
O padrão de drenagem linfática do canal anal varia diretamente com a localização do tumor primário, e compreender esse mapa é essencial para definir quais regiões nodais eletivas devem ser cobertas.
| Localização do Tumor Primário | Linfonodos de Drenagem |
|---|---|
| Canal anal distal, pele perianal e margem anal | Inguinais superficiais, femorais, ilíacos externos |
| Canal anal logo proximal à linha denteada | Pudendos internos, hipogástricos, obturadores, hemorroidários inferiores e médios |
| Canal anal proximal e reto distal | Perirretais, hemorroidários superiores |
Fonte: Target Volume Delineation and Field Setup, 2nd Edition (Table 19.1)
Na prática, a maioria dos tumores do canal anal requer cobertura tanto das cadeias pélvicas quanto das inguinais. A inclusão ou não dos linfonodos ilíacos externos e inguinais como alto ou baixo risco depende do envolvimento nodal confirmado por biópsia ou PET/CT.
Investigação Diagnóstica para Delineamento
O exame físico permanece insubstituível no estadiamento do câncer anal. A avaliação detalhada deve incluir: tamanho e localização do tumor em relação à margem anal, função esfincteriana, invasão de estruturas adjacentes via exame pélvico e palpação dos linfonodos inguinais.
Linfonodos inguinais suspeitos mas com tamanho limítrofe merecem biópsia. Quase 50% dos linfonodos clinicamente suspeitos revelam-se hiperplasia reativa — um dado que muda diretamente a classificação do CTV em alto versus baixo risco.

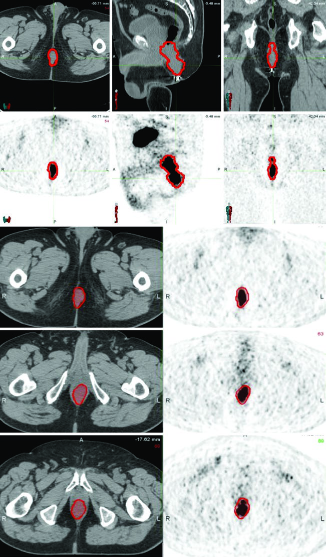
O PET/CT é recomendado tanto para estadiamento quanto para planejamento do tratamento, auxiliando na delimitação da doença macroscópica. Contudo, áreas de baixa captação no PET não devem substituir achados do exame físico ou anormalidades detectadas na CT ou RM. A integração multimodal de imagens é a abordagem mais segura.
Simulação e Localização Diária
O paciente deve ser simulado em posição supina, braços sobre o tórax, em molde corporal. A posição prona com belly board pode deslocar o intestino anteriormente, mas a reprodutibilidade é inferior e complica a colocação de bolus. Um marcador radiopaco deve ser posicionado na margem anal.
A CT de simulação com contraste intravenoso e espessura de corte ≤3 mm permite delinear os vasos sanguíneos pélvicos e o volume tumoral macroscópico. Quando disponível, fusão com PET/CT ou RM auxilia significativamente na definição dos volumes-alvo.

O enchimento vesical deve ser considerado: bexiga cheia pode afastar alças intestinais da pelve, enquanto bexiga vazia pode ser mais reprodutível. A orientação de imagem diária com kV ortogonal e cone-beam CT semanal é recomendada. Se houver variação significativa no preenchimento de bexiga ou reto, a frequência do CBCT deve aumentar.
Volumes-Alvo e Planejamento: Do GTV ao PTV
A radioterapia conformacional 3D convencional para câncer anal era historicamente complexa pela necessidade de irradiar a pelve e os linfonodos inguinais simultaneamente. A técnica “thunderbird” foi o método clássico. Porém, o estudo RTOG 0529 estabeleceu a viabilidade do IMRT em cenário multi-institucional, demonstrando menores taxas de toxicidade hematológica grau ≥2 e menores taxas de toxicidade gastrointestinal e dermatológica grau ≥3 quando comparado aos controles históricos do RTOG 9811 com 3D conformacional.
É crucial ressaltar: o delineamento não-conforme com diretrizes de consenso está associado a risco aumentado de recidiva. A precisão no contorno dos volumes é tão importante quanto a técnica de entrega de dose.
| Volume-Alvo | Definição e Descrição |
|---|---|
| GTV-P, GTV-N | GTV-P: toda doença macroscópica ao exame físico e imagem. GTV-N: linfonodos ≥1,5 cm, PET-positivos e/ou comprovados por biópsia. Distinguir GTV-Na (≤3 cm) de GTV-Nb (>3 cm) |
| CTV-P, CTV-N | CTV-P: GTV-P + margem de 1,5–2,5 cm excluindo osso, músculo ou ar não envolvidos. CTV-N: GTV-N + 1,0–1,5 cm excluindo osso, músculo ou ar |
| CTV-HR (alto risco) | Cobre CTV-P, CTV-N, mesorreto inteiro, linfonodos perirretais e ilíacos internos bilaterais inferiores à borda inferior da articulação sacroilíaca. Se inguinais ou ilíacos externos envolvidos, incluí-los. Margem de 0,7 cm ao redor dos vasos ilíacos internos. Margem de 1,8 cm entre vasos ilíacos externos e internos para obturadores. Margem de 1–1,5 cm na bexiga anteriormente |
| CTV-LR (baixo risco) | Cobre linfonodos ilíacos internos não envolvidos superiores à borda inferior da articulação sacroilíaca, ilíacos externos e inguinais não envolvidos. Margens: 0,7 cm ao redor dos vasos ilíacos internos; 1 cm anterolateral nos ilíacos externos; contorno do compartimento inguinal completo |
| PTV | Expansão de 0,5–1 cm de cada CTV, dependendo da acurácia de setup, frequência de imagem e uso de IGRT |
Fonte: Target Volume Delineation and Field Setup, 2nd Edition (Table 19.2)
Atlas de Contorno: Regiões Nodais Eletivas
O atlas de contorno anorretal do RTOG descreve três regiões CTV que devem ser incluídas para todos os pacientes com câncer de canal anal. O Australasian GI Trials Group Atlas detalha sete regiões eletivas. Há desacordos entre as diretrizes RTOG, AGITG e BNG quanto ao contorno dos linfonodos inguinais — dados recentes mostram que 10–29% dos linfonodos inguinais envolvidos ficam fora das bordas nodais recomendadas.

| Região CTV (RTOG) | Descrição |
|---|---|
| CTV-A (perirretais, pré-sacrais, ilíacos internos) | Pelve inferior: borda inferior 2 cm abaixo da doença macroscópica, incluindo mesorreto inteiro. Pelve média: reto, mesorreto, ilíacos internos, margem de 1 cm na bexiga. Pelve superior: até bifurcação das ilíacas comuns (~promontório sacral). Margem de 7–8 mm nos vasos ilíacos internos |
| CTV-B (ilíacos externos) | Fronteira entre inguinal e ilíaco externo na extensão inferior dos vasos obturadores internos (borda superior dos ramos púbicos superiores). Margem de 7–8 mm, ao menos 1 cm anteriormente |
| CTV-C (inguinais) | Extensão inferior 2 cm abaixo da junção safeno-femoral. Contornar compartimento inguinal inteiro incluindo pequenos vasos e linfonodos |
Fonte: Target Volume Delineation and Field Setup, 2nd Edition (Table 19.3 — Atlas de Contorno Anorretal RTOG)
Para cobrir adequadamente a cadeia inguinal, recomenda-se: margem radial de 2 cm ao redor dos vasos femorais, 1 cm ao redor da junção safeno-femoral e 3 cm de margem medial/lateral ao longo do ligamento inguinal inferior. A borda caudal do CTV inguinal deve estar no nível da margem anal.
Dose e Fracionamento: Esquemas Validados
Existem múltiplas técnicas de prescrição de dose no câncer anal. As recomendações atuais são baseadas nos planos dos protocolos RTOG 9811 e RTOG 0529/Transaustralian.

| Volume-Alvo | RTOG 9811 | RTOG 0529 / Transaustralian |
|---|---|---|
| PTV-P | T1N0: 45–50,4 Gy a 1,8 Gy/fração T2N0: 50,4 Gy a 1,8 Gy/fração N+ ou T3-T4: 54–59,4 Gy a 1,8 Gy/fração |
T2N0: 50,4 Gy a 1,8 Gy/fração N+ ou T3-T4: 54 Gy a 1,8 Gy/fração |
| PTV-N | 54–59,4 Gy a 1,8 Gy/fração | 50,4 Gy a 1,68 Gy/fração se linfonodo ≤3 cm 54 Gy a 1,8 Gy/fração se linfonodo >3 cm |
| PTV-HR | 45 Gy a 1,8 Gy/fração | T2N0: 42 Gy a 1,5 Gy/fração N+ ou T3-T4: 45 Gy a 1,5 Gy/fração |
| PTV-LR | 30,6–36 Gy a 1,8 Gy/fração (ou 40 Gy a 1,6 Gy/fração com SIB) | PTV de baixo risco não utilizado no RTOG 0529 |
Fonte: Target Volume Delineation and Field Setup, 2nd Edition (Table 19.5)
Exemplos Clínicos: Como os Planos se Configuram
O caso T2N0 demonstra quimorradioterapia definitiva com IMRT: PTV-LR e PTV-HR tratados simultaneamente a 40 Gy (1,6 Gy/fração) e 45 Gy (1,8 Gy/fração) em 25 frações, respectivamente. Depois, o PTV-P recebeu boost sequencial a 50,4 Gy (1,8 Gy/fração) em 28 frações totais.

No caso T3N1a com envolvimento inguinal bilateral, PTV-LR e PTV-HR foram tratados simultaneamente a 40 Gy e 45 Gy em 25 frações. Os linfonodos inguinais e ilíacos externos bilaterais foram incluídos no CTV-HR por causa do envolvimento bilateral. Depois, PTV-P e PTV-N receberam boost a 54 Gy em 30 frações totais.

O terceiro caso ilustra um T1 patológico (1,0 cm) N0M0 de pele perianal ressecado com margem exígua de 0,1 cm. O tratamento adjuvante cobriu o leito pós-operatório e os linfonodos inguinais com IMRT: PTV-HR e PTV-P a 45 Gy em 25 frações, seguidos de boost sequencial do PTV-HR a 55,8 Gy em 31 frações totais. Esse caso reforça que mesmo tumores pequenos com margens exíguas exigem cobertura inguinal.
A abordagem de planejamento para o câncer retal compartilha alguns princípios anatômicos similares — especialmente no que se refere à cobertura mesorrectal e dos vasos ilíacos internos — mas o câncer anal demanda atenção específica à cadeia inguinal.
Avaliação do Plano e Restrições de Dose
O objetivo é que pelo menos 95% de cada PTV receba 100% da dose prescrita. A dose máxima dentro do PTV não deve exceder 110%. Quando se utiliza boost sequencial, cada plano individual deve ser avaliado separadamente antes do plan sum, verificando hot spots e sub-cobertura.
| Órgão em Risco | Restrição |
|---|---|
| Intestino delgado | QUANTEC: V15Gy < 120 cc (alças individuais); V45Gy < 195 cc (cavidade peritoneal) RTOG 0529: V30Gy < 200 cc; V35Gy < 150 cc; V45Gy < 20 cc; Dmax < 50 Gy |
| Intestino grosso | RTOG 0529: V30Gy < 200 cc; V35Gy < 150 cc; V45Gy < 20 cc |
| Bexiga | QUANTEC: Dmax < 65 Gy; V65Gy < 50% RTOG 0529: V35Gy < 50%; V40Gy < 35%; V50Gy < 5% |
| Cabeças femorais | RTOG 0529: V30Gy < 50%; V40Gy < 35%; V44Gy < 5% |
| Crista ilíaca | RTOG 0529: V30Gy < 50%; V40Gy < 35%; V50Gy < 5% |
| Genitália externa | RTOG 0529: V20Gy < 50%; V30Gy < 35%; V40Gy < 5% |
Fonte: Target Volume Delineation and Field Setup, 2nd Edition (Table 19.6 — QUANTEC e RTOG 0529)
Medula Óssea Pélvica: Órgão em Risco Emergente
A medula óssea pélvica está emergindo como órgão em risco importante para minimizar toxicidade hematológica aguda em pacientes recebendo quimiorradioterapia concomitante. Os ossos pélvicos servem como substituto para a medula óssea. A estrutura consiste em 3 sub-sítios: coluna lombossacra, ílio e pelve baixa.
Restrições sugeridas incluem dose média < 28 Gy, V10 < 90% e V20 < 75%. Porém, esses limites não foram validados prospectivamente e não devem suplantar outros objetivos de planejamento. A coluna lombossacra pode ser o sub-sítio mais ativo da medula pélvica, e limitar a dose a esse sítio pode ser suficiente para reduzir toxicidade hematológica.
A abordagem de minimização de dose na medula óssea pélvica também se aplica a outros sítios tratados com IMRT pélvica, como o câncer de vulva e as malignidades ginecológicas definitivas.
Considerações Finais para a Prática Clínica
O planejamento radioterápico do câncer anal requer integração cuidadosa de informações clínicas, imagem multimodal e diretrizes de consenso. A escolha entre as diferentes técnicas de fracionamento — RTOG 9811 versus RTOG 0529 — deve considerar o estadiamento, o envolvimento nodal e a capacidade institucional de IMRT com IGRT robusto. O delineamento conforme com atlas de consenso não é opcional: a aderência às diretrizes correlaciona-se diretamente com o controle regional.
Para uma visão abrangente de todas as estratégias de delineamento por sítio anatômico, consulte nosso guia completo sobre delineamento de volumes-alvo e configuração de campos.




