
La delineación del carcinoma de nasofaringe constituye uno de los desafíos más exigentes en la planificación de radioterapia de cabeza y cuello. A diferencia de otras neoplasias de la región, el carcinoma nasofaríngeo presenta una anatomía profunda, una tendencia marcada a la infiltración de la base del cráneo y extensión perineural, y un patrón de diseminación ganglionar bilateral que obliga al radioterapeuta a dominar la anatomía tridimensional del espacio parafaríngeo, los forámenes de la base craneal y las cadenas ganglionares cervicales en su totalidad. La técnica de intensidad modulada (IMRT) es hoy el estándar indiscutible, y la correcta definición de los volúmenes blanco —desde el GTV hasta los PTVs— determina directamente el control locorregional y la preservación de los órganos en riesgo adyacentes. Este artículo forma parte de nuestra guía completa sobre delineación de volumen blanco y aborda paso a paso los criterios de contorneo para el carcinoma nasofaríngeo según la evidencia actual.
- Evaluación diagnóstica y preparación para la simulación
- Simulación, posicionamiento e imagen de fusión
- GTV y CTV de enfermedad macroscópica (CTV70)
- CTV subclínico: nasofaringe, base de cráneo y cuello (CTV54-59.4)
- Márgenes de PTV y consideraciones cerca de OARs
- Esquemas de fraccionamiento y dosimetría
- Radioterapia adaptativa y papel de la RM a mitad de tratamiento
- Casos clínicos ilustrativos: T1N1 y T4N2
Evaluación diagnóstica y preparación para la simulación
Todo proceso de delineación del carcinoma de nasofaringe comienza con una evaluación clínica exhaustiva. La endoscopia detallada debe inspeccionar el espacio nasal anterior, la nasofaringe en su totalidad y la orofaringe. El examinador debe documentar con precisión la extensión mucosa visible, la presencia de obstrucción tubárica y cualquier extensión hacia la fosa nasal posterior o el paladar blando.
El estudio inmunohistoquímico de EBER (ARN codificado por EBV) a partir de la biopsia es obligatorio en todas las regiones endémicas y altamente recomendable en cualquier contexto clínico. Cuando esté disponible, la determinación cuantitativa de ADN del EBV en plasma aporta información pronóstica adicional.
La resonancia magnética con contraste (gadolinio) es el estudio más crítico para la planificación. Permite detectar infiltración medular ósea en secuencias T1 sin contraste, extensión perineural a lo largo de V2 y V3, invasión del seno cavernoso y compromiso de la fosa craneal media. La PET/CT con FDG aporta valor complementario: es excelente para identificar metástasis ganglionares pequeñas y enfermedad a distancia, aunque su resolución espacial limita su utilidad como herramienta primaria de contorneo del tumor nasofaríngeo.
Simulación, posicionamiento e imagen de fusión

La simulación se realiza con el paciente en decúbito supino, cabeza en posición neutra, inmovilizado con máscara termoplástica de cinco puntos que incluya los hombros. La TC de planificación se adquiere con cortes de 2 a 3 mm de espesor, con contraste intravenoso, desde el vértex craneal hasta 2 cm por debajo de las articulaciones esternoclaviculares.
La fusión de la RM a la TC de planificación es un paso irrenunciable. Lo ideal es que la RM se adquiera en posición de tratamiento, con la misma máscara de inmovilización, para minimizar las incertidumbres de registro. La evaluación de la ventana ósea en la TC es complementaria y esencial para identificar la erosión de forámenes (oval, redondo mayor, rasgado anterior) y la afectación del clivus.
Los principios de contorneo para nasofaringe difieren en varios aspectos respecto a los utilizados en la delineación de tumores orofaríngeos, fundamentalmente por la necesidad de cubrir estructuras de la base craneal y la extensión bilateral cervical como norma.
GTV y CTV de enfermedad macroscópica (CTV70)
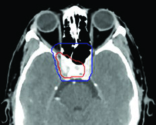
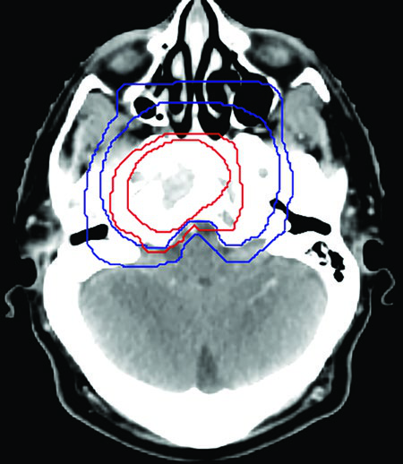
La definición del GTV70 incluye toda la enfermedad macroscópica visible en las imágenes —TC con contraste, RM con gadolinio y PET/CT cuando esté disponible—, así como los hallazgos de la endoscopia. En el sitio primario, el GTV70 abarca el tumor nasofaríngeo con todas sus extensiones: invasión de la base del cráneo, extensión perineural demostrada por RM y cualquier componente en el espacio parafaríngeo o retroestiloideo.

El CTV70 se genera expandiendo el GTV primario entre 3 y 5 mm. En situaciones donde existe alta certeza de los límites tumorales, puede considerarse que GTV equivale a CTV (margen de 0 mm). Cerca de órganos en riesgo críticos (tronco encefálico, quiasma óptico, médula espinal), el margen se reduce o elimina, priorizando la seguridad del paciente. Un principio importante: cuando el tumor invade la órbita ipsilateral, puede sacrificarse el nervio óptico de ese lado para lograr cobertura adecuada, pero nunca el contralateral.
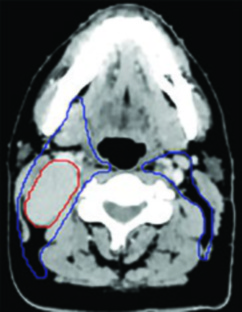
En el cuello, el CTV70 corresponde al GTV ganglionar más 3 a 5 mm. Los ganglios pequeños que son claramente patológicos pero de menor volumen pueden tratarse a dosis intermedias de 63 a 66 Gy.
| Volumen | Primario (Nasofaringe) | Cuello (Ganglionar) |
|---|---|---|
| GTV70 | Toda la enfermedad macroscópica visible en TC, RM e imágenes funcionales. Incluye extensión a base de cráneo, invasión perineural y componente parafaríngeo. | Ganglios ≥1 cm eje corto, ganglios necróticos, ganglios FDG-ávidos. |
| CTV70 | GTV + 3-5 mm. GTV=CTV cuando hay certeza de bordes (0 mm). Reducción a 0 mm cerca de OARs. Sacrificio ipsilateral del nervio óptico si es necesario. | GTV + 3-5 mm. Ganglios pequeños patológicos: 63-66 Gy. |
| PTV70 | CTV + 3-5 mm. Compromiso posterior cerca de tronco encefálico y médula. | CTV + 3 mm. |
| Prescripción | 2.0-2.12 Gy/fracción hasta 69.96-70 Gy en 33-35 fracciones. | |
Fuente: Target Volume Delineation and Field Setup, 2nd Edition (Tabla 1.1)
CTV subclínico: nasofaringe, base de cráneo y cuello (CTV54-59.4)

El volumen subclínico (CTV54-59.4) del carcinoma nasofaríngeo es, posiblemente, el más complejo de toda la cabeza y el cuello. Debe englobar no solo el GTV con un margen de 10 mm, sino también la nasofaringe completa, el paladar blando, la cavidad nasal posterior (al menos 5 mm anteriores a las coanas), la porción posterior de los senos maxilares —incluyendo la fosa pterigopalatina y el trayecto de V2—, los senos etmoidales posteriores y los forámenes de la base del cráneo.
La extensión craneal del CTV subclínico varía según el estadio T:
- T1-T2: Mitad del seno esfenoidal, tercio anterior del clivus.
- T3-T4: Seno esfenoidal completo, clivus completo, seno cavernoso y cavidad de Meckel.
Los espacios pterigoideos y parafaríngeos se incluyen siempre. La revisión de la ventana ósea en la TC de planificación es mandatoria para identificar los forámenes oval, redondo mayor y rasgado anterior. La erosión sutil de estas estructuras puede pasar desapercibida en ventana de partes blandas.
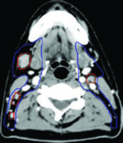
En el cuello, el CTV54-56 incluye los ganglios retrofaríngeos bilaterales y los niveles ganglionares IB a V bilateralmente. El nivel IB puede omitirse en pacientes N0 sin extensión hacia la cavidad oral. El cuello bajo puede excluirse en pacientes N0 seleccionados. Estas consideraciones comparten principios con la delineación descrita para el cáncer de laringe.
| Volumen | Primario (Nasofaringe + Base de Cráneo) | Cuello (Ganglionar subclínico) |
|---|---|---|
| CTV56-59.4 | GTV + 10 mm + nasofaringe completa + paladar blando + cavidad nasal posterior (≥5 mm anterior a coanas) + senos maxilares posteriores (fosa pterigopalatina, V2) + etmoides posterior + forámenes de base de cráneo + espacios pterigoideos y parafaríngeos. T1-T2: medio seno esfenoidal, 1/3 clivus. T3-T4: seno esfenoidal completo, clivus completo, seno cavernoso, cavidad de Meckel. | RP bilaterales + niveles IB-V bilaterales. IB omitible en N0. Cuello bajo omitible en N0 seleccionados. |
| PTV | CTV + 3-5 mm. 0 mm cerca de estructuras críticas. | CTV + 3 mm. |
| Prescripción (35 fx) | 1.6-1.7 Gy/fracción. | |
| Prescripción (33 fx) | 1.64-1.8 Gy/fracción. | |
Fuente: Target Volume Delineation and Field Setup, 2nd Edition (Tabla 1.2)

Un aspecto que merece atención especial es el nivel V cervical. En tumores avanzados (N2-N3), la cobertura del nivel V hasta la grasa posterior a la clavícula es imprescindible. La omisión de este nivel puede conducir a recurrencias marginales de difícil rescate. De manera comparable, la cobertura ganglionar completa cobra relevancia en los tumores de hipofaringe.
Márgenes de PTV y consideraciones cerca de OARs
La expansión de CTV a PTV sigue un principio general de 3 a 5 mm en el sitio primario y 3 mm en el cuello. Sin embargo, la aplicación mecánica de estos márgenes es inaceptable en la nasofaringe. Las estructuras críticas adyacentes imponen una estrategia de compromiso posterior y superior.
El PTV70 se reduce intencionadamente en su interfaz con el tronco encefálico y la médula espinal. En la práctica, esto significa que el margen posterior puede ser de 0 a 1 mm en lugar de los 3 a 5 mm estándar. En el cuello, la expansión es más uniforme (3 mm), dado que las estructuras críticas son menos limitantes.
Esquemas de fraccionamiento y dosimetría

El esquema de fraccionamiento estándar para el carcinoma nasofaríngeo tratado con IMRT simultánea integrada (SIB) prescribe 69.96 a 70 Gy al PTV70 en 33 a 35 fracciones, con dosis por fracción de 2.0 a 2.12 Gy. Simultáneamente, el volumen subclínico recibe 54 a 59.4 Gy, correspondiente a 1.6 a 1.8 Gy por fracción. Los protocolos del NRG HN001 proporcionan el marco dosimétrico de referencia.
La alternativa secuencial —no SIB— consiste en administrar 50 a 54 Gy al volumen amplio seguidos de un boost de 16 a 20 Gy al volumen de enfermedad macroscópica, completando los 70 Gy totales.
El estudio RTOG 0225 (Lee N et al., J Clin Oncol 2009;27(22):3684-90) demostró que la IMRT en nasofaringe ofrece tasas de control locorregional superiores al 90% a 2 años. Los lineamientos de CTV publicados por Lee AW et al. (Radiother Oncol 2018;126(1):25-36) refinaron los criterios de contorneo y se incorporaron a los protocolos del NRG.
Un punto que distingue la dosimetría de nasofaringe de la de otras localizaciones, como la tratada en la guía de SBRT de cabeza y cuello, es que aquí no se buscan altas dosis por fracción sino un balance preciso entre cobertura extensa y protección de múltiples OARs simultáneamente.
Radioterapia adaptativa y papel de la RM a mitad de tratamiento

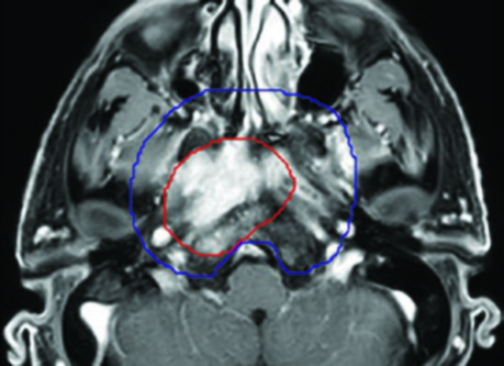
El carcinoma nasofaríngeo experimenta con frecuencia una reducción volumétrica significativa durante el tratamiento. Esta respuesta tumoral progresiva modifica la geometría del target y la relación espacial con los OARs.
La replanificación adaptativa se considera seriamente en casos donde la RM realizada a mitad de tratamiento (típicamente entre las fracciones 15 y 20) demuestra un alejamiento significativo del tumor respecto al quiasma óptico u otros OARs críticos. En el caso cT3N2 ilustrado, la RM a mitad de tratamiento documentó una reducción del GTV que separó el tumor del quiasma óptico, permitiendo un nuevo plan con mejor cobertura y menor dosis al quiasma.
Los criterios razonables para indicar replanificación incluyen: pérdida de peso superior al 5-10% que altere el contorno externo, reducción tumoral que modifique la proximidad a OARs críticos, y cambios en la adenopatía cervical que alteren la posición del GTV ganglionar.
Casos clínicos ilustrativos: T1N1 y T4N2

Caso 1: T1N1 EBV positivo
Paciente con carcinoma nasofaríngeo no queratinizante, EBV positivo, estadio T1N1. La RM mostró un tumor confinado a la nasofaringe sin extensión parafaríngea significativa. La PET/CT confirmó un ganglio patológico en niveles II y III derechos. El GTV70 primario se limitó al tumor visible en la fusión TC-RM, con un CTV70 de expansión 3 mm. El CTV subclínico incluyó la nasofaringe completa, la mitad del seno esfenoidal, un tercio del clivus, la fosa pterigopalatina bilateral y los niveles ganglionares IB a V bilaterales con ganglios retrofaríngeos.
Caso 2: T4N2 EBV positivo
Paciente con enfermedad localmente avanzada, extensión intracraneal a través del foramen oval y seno cavernoso ipsilateral, adenopatías bilaterales en niveles II-V. El GTV70 incluyó el tumor primario con toda su extensión intracraneal visible en RM T1 con gadolinio, así como el conglomerado ganglionar necrótico. El CTV70 se expandió 5 mm en la mayoría de las direcciones, reduciéndose a 0 mm en la interfaz con el lóbulo temporal. El CTV subclínico requirió la inclusión del seno esfenoidal completo, el clivus completo, la cavidad de Meckel bilateral y todos los niveles cervicales bilaterales hasta la grasa posterior a la clavícula en el nivel V.
Ambos casos fueron tratados con quimiorradioterapia concurrente con cisplatino, esquema SIB en 33 fracciones (70 Gy al PTV70, 56 Gy al PTV56), con verificación mediante CBCT diario.
Recomendaciones prácticas para el contorneo
- La RM con gadolinio no es opcional. Debe fusionarse a la TC de planificación en todos los casos.
- Revisar siempre la ventana ósea. Los forámenes deben identificarse y evaluarse en cada corte axial relevante.
- No omitir los retrofaríngeos. Los ganglios retrofaríngeos bilaterales forman parte del CTV subclínico en todos los estadios.
- Adaptar la extensión craneal al estadio T. La diferencia entre cubrir medio seno esfenoidal o el esfenoidal completo tiene implicaciones significativas.
- Documentar los compromisos de margen cerca de OARs en la historia clínica del paciente.
- Considerar la replanificación adaptativa en tumores voluminosos que demuestren respuesta significativa a mitad de tratamiento.
El manejo del carcinoma nasofaríngeo con radioterapia de intensidad modulada representa una de las mayores conquistas técnicas de nuestra especialidad. Para una visión integral de los principios de contorneo en otras localizaciones, se recomienda consultar nuestra guía completa sobre delineación de volumen blanco.




