Terapia Trimodal para Preservación Vesical en Cáncer de Vejiga
La terapia trimodal (TMT) constituye el estándar de tratamiento definitivo para pacientes con carcinoma urotelial músculo-invasivo (MIBC) sin compromiso ganglionar. El protocolo integra la resección transuretral máxima (TURBT), idealmente completa, seguida de quimiorradioterapia concurrente. Los radiosensibilizadores más frecuentemente utilizados incluyen cisplatino, fluorouracilo (5-FU)/mitomicina C y gemcitabina. Agentes modificadores de hipoxia como carbógeno y nicotinamida también han sido estudiados como alternativas.

Los protocolos RTOG/NRG han empleado clásicamente radioterapia conformacional tridimensional (3D-CRT), aunque estudios más recientes — como el estudio fase III SWOG/NRG 1806 (NCT03775265) — ya permiten la radioterapia de intensidad modulada (IMRT) para quimiorradioterapia concurrente. La utilización creciente de IMRT responde a la necesidad de minimizar la dosis en tejidos normales adyacentes, especialmente intestino, particularmente cuando las restricciones de dosis no pueden cumplirse con planificación 3D-CRT.
No existe consenso sobre el diseño óptimo de campos — vejiga completa con o sin próstata, vejiga parcial, cobertura ganglionar electiva — ni sobre el régimen de dosis/fraccionamiento, que varía desde fraccionamiento diario convencional hasta hiperfraccionamiento BID e hipofraccionamiento. Para enfermedad con ganglios positivos confinada a la pelvis y ganglios para-aórticos, la quimiorradioterapia sigue siendo una opción terapéutica viable. La radioterapia adyuvante post-cistectomía radical está en investigación para casos de alto riesgo (pT3, pN+, márgenes positivos), e incluso la radioterapia intraoperatoria puede considerarse para pacientes elegibles con enfermedad localmente avanzada y riesgo de márgenes comprometidos. Los órganos en riesgo (OARs) principales incluyen intestino delgado, intestino grueso, recto y cabezas femorales. Para una perspectiva integral del delineamiento de volúmenes, consulte nuestra guía completa sobre delineación de volumen blanco en radioterapia.
Radioterapia Conformacional 3D en Cáncer de Vejiga
Los protocolos RTOG 0712 y 0926 definen un abordaje secuencial en dos fases. El campo pélvico pequeño (CTV4140) abarca la vejiga completa, próstata y uretra prostática (varones), uretra proximal (mujeres) y linfáticos regionales. Le sigue un cone down al campo de vejiga total (CTV6120) que incluye la vejiga entera y cualquier volumen tumoral macroscópico (GTV).
El campo pélvico pequeño se planifica como un arreglo four-field box. El campo de vejiga total puede utilizar four-field box o laterales opuestos paralelos, con colimador multiláminas para optimizar la conformación. Se recomienda el contorneo de ganglios pélvicos para asegurar que los campos estándar engloben los linfáticos en riesgo, ajustando bordes según sea necesario.
Restricciones de Dosis OAR — Protocolos RTOG 0712/0926
Las restricciones de dosis para órganos en riesgo en los protocolos de preservación vesical selectiva son estrictas y reflejan la proximidad anatómica entre la vejiga y las estructuras circundantes.
| Órgano en Riesgo | Restricción |
|---|---|
| Recto | V30Gy < 50% (0712) o V55Gy < 50% (0926); V55Gy < 10% (0712) |
| Cabezas Femorales | V50Gy < 20% (0712); Dmáx < 45 Gy (0712, 0926) |
| Intestino Delgado | D45Gy < 300 cm³ |
Fuente: Target Volume Delineation and Field Setup, 2nd Edition (Tabla 26.1)
Diseño de Campos 3D-CRT
Cada fase del tratamiento exige atención minuciosa a los límites de campo para garantizar cobertura adecuada de los blancos sin exceder las tolerancias de los OARs.
| Campo | Especificaciones |
|---|---|
| Campo Pélvico Pequeño — AP/PA | Superior: unión S1/S2 (anterior). Inferior: 1 cm debajo del foramen obturador. Lateral: 1,5 cm más allá de la pelvis ósea en su diámetro mayor. Bloquear cabezas femorales. |
| Campo Pélvico Pequeño — Laterales | Misma extensión sup/inf que AP/PA. Anterior: 1 cm anterior a la sínfisis púbica o 1,5 cm anterior al CTV vejiga total. Posterior: 3 cm más allá del CTV vejiga total. Considerar bloqueo anterior para minimizar dosis al intestino delgado. |
| Campo Vejiga Total | CTV = vejiga completa + GTV. PTV = expansión isotrópica de 0,5 cm sobre CTV, excepto 1,5 cm superiormente. Four-field box o laterales opuestos con MLC para conformación optimizada. |
Fuente: Target Volume Delineation and Field Setup, 2nd Edition (Tabla 26.2)

Un estudio aleatorizado (BC2001) comparó radioterapia de vejiga completa con radioterapia de volumen alto-dosis reducido (RHDVRT). Los resultados demostraron no inferioridad del RHDVRT en control locorregional, sin reducción significativa de la toxicidad tardía. Dos enfoques resultan viables: el boost secuencial en dos fases (cone down) o el boost concomitante integrado simultáneo (SIB) en fase única. En la técnica secuencial, el PTV2 cubre únicamente el lecho de TURBT después del campo pélvico inicial. En la técnica SIB, ambos PTVs se tratan simultáneamente — PTV1 recibe la dosis electiva sobre la vejiga no tumoral mientras PTV2 recibe la dosis escalada al tumor. Esta flexibilidad permite al equipo elegir la estrategia que mejor se adapte a la anatomía del paciente y las capacidades técnicas del servicio.
IMRT en Cáncer de Vejiga: Volúmenes y Fraccionamiento
Los volúmenes blanco con IMRT son similares a los de 3D-CRT — vejiga completa, próstata, uretra prostática (varones) o uretra proximal (mujeres), con o sin cobertura ganglionar. La principal ventaja del IMRT radica en la reducción de dosis a los OARs adyacentes al PTV de alta dosis, particularmente intestino delgado y grueso. Además, el IMRT posibilita la irradiación parcial de vejiga o de volumen reducido, con potencial para escalamiento de dosis al lecho de TURBT.

La variabilidad diaria del llenado vesical introduce incertidumbre significativa que debe compensarse mediante margen de PTV, setup diario y guía por imagen. No solo importa mantener la vejiga consistente — la posición del intestino delgado y grueso en dirección superior, anterior y lateral varía considerablemente, así como la posición del recto y sigmoide posteriormente. Estos factores hacen que el CBCT diario o al menos semanal sea prácticamente indispensable para cualquier protocolo basado en IMRT.
Las prescripciones convencionales más comunes son: 64–66,6 Gy en 32–37 fracciones. El tratamiento electivo de ganglios regionales (incluyendo CTV vejiga) entrega 39,6–45 Gy en fracciones de 1,8 Gy previo al boost secuencial de 19,8–21,6 Gy en 1,8 Gy por fracción. Cuando se opta por tratar ganglios pélvicos, el PTV vejiga y el PTV pelvis se combinan en un PTV compuesto para el campo pélvico inicial.
Volúmenes Blanco IMRT — Preservación Vesical Selectiva
| Fase | Volumen | Definición |
|---|---|---|
| Campo Pélvico Inicial | GTV | Enfermedad macroscópica y/o lecho tumoral definido por fiduciales o imagen post-TURBT |
| Campo Pélvico Inicial | CTV vejiga | Vejiga completa (incluyendo GTV) + próstata/uretra prostática (varones) o uretra proximal (mujeres) |
| Campo Pélvico Inicial | PTV vejiga | CTV vejiga + 1,5 cm |
| Campo Pélvico Inicial | CTV pelvis | Regiones ganglionares pélvicas bilaterales: perivesicales, ilíacas internas, ilíacas externas, presacras, ilíacas comunes distales |
| Campo Pélvico Inicial | PTV pelvis | CTV pelvis + 8–10 mm sobre vasos (correspondiendo a regiones ganglionares) |
| Boost Vesical | GTV/CTV boost | Enfermedad macroscópica y/o lecho tumoral definido por fiduciales o imagen post-TURBT |
| Boost Vesical | PTV boost | CTV + 1 cm de expansión isotrópica |
Fuente: Target Volume Delineation and Field Setup, 2nd Edition (Tabla 26.3)

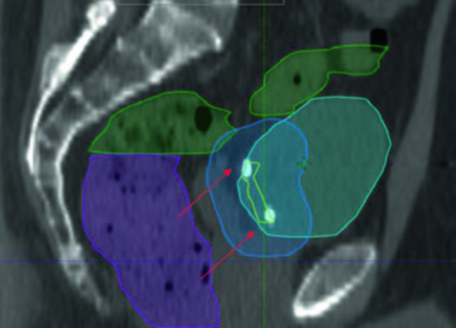
En la práctica, la planificación del boost vesical requiere marcadores fiduciales de oro implantados en la periferia del lecho de resección. Estos fiduciales permiten el registro diario con precisión submilimétrica. Observe cómo el PTV boost (azul) envuelve el lecho de TURBT (amarillo) con margen de 1 cm, mientras el recto (magenta) y el intestino (verde) se protegen mediante la conformación IMRT. Las flechas señalan los fiduciales que sirven como objetivos principales para la guía por imagen diaria.

La vista sagital confirma la importancia del margen asimétrico: superiormente, donde la variabilidad de llenado vesical es mayor, se necesita una expansión de PTV de 1,5 cm. El intestino delgado (verde) ocupa el espacio superior, reforzando la necesidad de protocolos consistentes de llenado vesical. Para comparar con la planificación de próstata — que comparte desafíos pélvicos similares — consulte nuestro artículo sobre adenocarcinoma de próstata.
Simulación, Planificación y Guía por Imagen
Se recomienda simulación por TC en posición supina con dispositivo de inmovilización pélvica adecuado. La reproducibilidad del llenado vesical y la verificación mediante guía por imagen resultan críticas para la entrega segura y eficaz de IGRT en MIBC. Un margen anisotrópico del PTV vesical puede adoptarse para compensar las variaciones direccionales específicas del llenado de la vejiga — mayor superiormente, menor lateralmente.

El protocolo de guía por imagen varía según la institución, pero sigue una lógica consistente. Durante la fase inicial se realiza imagen kV diaria con match óseo y al menos CBCTs semanales para verificar la posición vesical. En la fase de boost, el estándar aumenta: imagen kV diaria con match a fiduciales y/o CBCT diario. Sin fiduciales, el CBCT diario se torna obligatorio en la fase de boost.
El caso ilustrado muestra quimiorradioterapia concurrente con IMRT bladder-only para un varón de 82 años con enfermedad músculo-invasiva irresecable en la pared anterolateral derecha de la vejiga. El PTV (rojo) se conforma al GTV (amarillo) protegiendo intestino (verde) y recto (naranja). Este tipo de abordaje resulta particularmente útil para pacientes ancianos o con performance status comprometido que se benefician de volúmenes menores y tratamientos más cortos.
Directrices Institucionales del MSKCC
En el Memorial Sloan Kettering Cancer Center, la TMT definitiva sigue un protocolo estructurado por fases con estrategias específicas de llenado vesical. La TURBT máxima incluye mapeo vesical e implantación de marcadores fiduciales de oro en la periferia del lecho de resección.
La simulación por TC de la fase inicial se realiza con vejiga vacía — una elección deliberada para garantizar consistencia y reducir el volumen blanco vesical inicial. El contraste oral delimita el intestino, mientras el contraste IV debe utilizarse con precaución en pacientes con función renal comprometida o planificados para quimioterapia nefrotóxica como cisplatino.
Durante las semanas 3–4 de la quimiorradioterapia concurrente, se realiza re-simulación con TC y vejiga llena para planificar la fase de cone down. La vejiga llena desplaza el intestino y las paredes vesicales no involucradas lejos del blanco del boost — una técnica sencilla que reduce significativamente la toxicidad gastrointestinal.
Las prescripciones están bien definidas: fase inicial con 4500 cGy en 25 fracciones diarias (180 cGy/fracción) cubriendo vejiga completa, próstata/uretra prostática y ganglios pélvicos regionales (obturadores/perivesicales, ilíacos externos, ilíacos internos, presacros, ilíacos comunes hasta la bifurcación aórtica). El cone down recibe 2160 cGy en 12 fracciones, totalizando 6660 cGy en 37 fracciones al PTV boost, definido por el lecho de TURBT con margen de 1 cm desde los fiduciales.
Para pacientes seleccionados, regímenes hipofraccionados (55 Gy en 20 fracciones) pueden utilizarse, con volúmenes que incluyen vejiga/uretra prostática y tumor macroscópico con margen circunferencial de 1,5 cm y CBCT diario para verificación. Esta opción aplica especialmente a pacientes con performance status reducido, muy ancianos, inelegibles para cistectomía con enfermedad multifocal, o en paliación de enfermedad localmente avanzada. La quimioterapia radiosensibilizante se utiliza cuando es clínicamente apropiado en este contexto.
Enfermedad Ganglionar Positiva: Boost Integrado Simultáneo

Los pacientes con ganglios positivos representan un escenario terapéutico diferenciado. La fase inicial puede incorporar un boost integrado simultáneo (SIB) para escalar la dosis en la adenopatía macroscópica. La dosis SIB recomendada es de 5625 cGy en 25 fracciones diarias (225 cGy/fracción), dirigida a la enfermedad ganglionar macroscópica con PTV = GTV + margen de 5 mm, respetando la tolerancia de tejidos normales adyacentes.

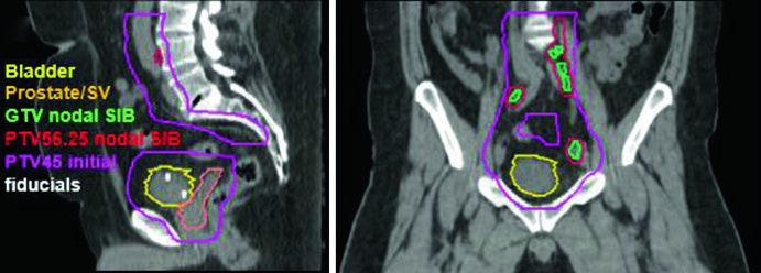
El caso clínico ilustrado corresponde a un varón de 51 años con carcinoma urotelial cT2N+ localmente avanzado, con masa de 5,0 x 2,8 cm en la pared posterolateral izquierda, sometido a TURBT máxima. Las imágenes de planificación sagital y coronal demuestran cómo el PTV del SIB nodal (PTV 56,25) se superpone al campo pélvico inicial (PTV 45) sin comprometer excesivamente las estructuras adyacentes, con los fiduciales claramente visibles en el lecho de TURBT. En la fase de boost, el volumen se reduce al lecho de TURBT con margen conformado, permitiendo escalamiento seguro de dosis al tumor primario.
En el contexto de la preservación vesical, la planificación por IMRT con guía por imagen ha transformado la capacidad de tratar la vejiga con precisión. El llenado vesical controlado, los fiduciales implantados en el lecho de TURBT y los protocolos de verificación diaria representan los pilares que garantizan la eficacia terapéutica con toxicidad aceptable. La evolución de 3D-CRT a IMRT no solo mejoró la protección de OARs, sino que abrió puertas al escalamiento de dosis y a regímenes hipofraccionados que amplían las opciones para pacientes que no son candidatos ideales a cirugía radical. Para otros tumores pélvicos con lógica de planificación comparable, consulte nuestro artículo sobre cáncer rectal.




