Tumores benignos do SNC e o papel da radioterapia
Tumores benignos do sistema nervoso central — meningiomas, schwannomas vestibulares, adenomas hipofisários e tumores glômicos — representam um grupo heterogêneo de lesões que, apesar de histologicamente benignas, frequentemente exigem tratamento radioterápico preciso. O delineamento correto dos volumes-alvo e a escolha da técnica adequada determinam o controle local a longo prazo e a preservação funcional do paciente.
O manejo desses pacientes começa com uma avaliação clínica detalhada: história neurológica, exame físico focado, avaliação hormonal, campo visual, acuidade, audiometria e função neurocognitiva basal. A ressecção cirúrgica máxima segura permanece o padrão para pacientes operáveis com tumores acessíveis. Para os demais, a radioterapia definitiva entra como alternativa de primeira linha. Este artigo detalha a lógica de contorno, doses, fracionamentos e planejamento para cada subtipo, com base no guia completo sobre delineamento de volumes-alvo.
Posicionamento, imobilização e simulação

O paciente é simulado em decúbito dorsal, braços paralelos ao corpo e ombros em posição natural. A imobilização padrão utiliza máscara termoplástica indexada de 3 pontos. Quando o tumor está na base do crânio ou próximo ao aparato óptico, a máscara de 5 pontos reforça a fixação do pescoço. Pacientes simulados por RM usam máscara tipo clamshell.
As imagens axiais de TC são adquiridas com espessura de 1 mm para SRS, FSRT e terapia com prótons, ou 2 mm para 3D-CRT, IMRT e VMAT, cobrindo toda a cabeça até o nível dos ombros. A co-registro com RM diagnóstica é fortemente recomendada — sequências T1 pós-contraste ou FLAIR para visualizar o tumor, e T1 nativo ou 3D T2/CISS para delinear nervos cranianos e hipocampo. Contraste iodado IV é utilizado salvo contraindicação.
Delineamento de órgãos de risco

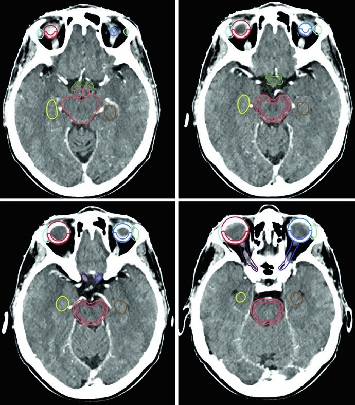
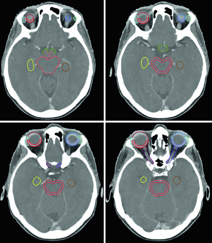
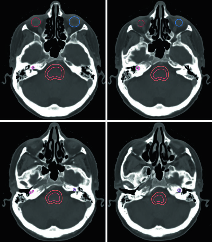
A lista de estruturas normais a contornar é extensa e reflete a sensibilidade das estruturas vizinhas. Para a maioria dos tumores benignos do SNC, o conjunto de OARs inclui: encéfalo total, encéfalo não envolvido (encéfalo menos GTV ou CTV), tronco encefálico dividido em core e superfície (rind de 3 mm), medula espinhal, cócleas direita e esquerda, globos oculares, cristalinos, nervos ópticos, quiasma, retinas, glândulas lacrimais, lobos temporais, hipocampos e hipotálamo. Volumes de risco planejado (PRVs) podem ser criados para tumores adjacentes a estruturas críticas, auxiliando na dosimetria e na avaliação do plano.

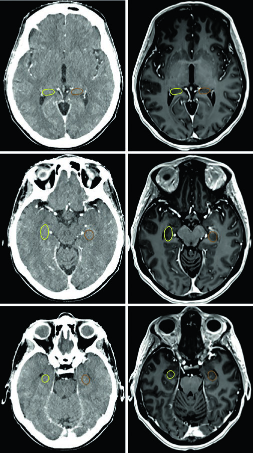
Cada OAR tem uma janela de visualização preferida. O tronco encefálico, quiasma óptico e componentes intracranianos dos nervos ópticos são melhor visualizados em janela cerebral. Os nervos ópticos nos canais ópticos e seus componentes orbitários ficam mais nítidos em janela de partes moles. As cócleas, por sua vez, só são identificadas com precisão em janela óssea. Já o hipocampo — especificamente a zona subgranular — é delineado em T1 de RM e visualizado na TC como substância cinzenta hipointensa, do nível do esplênio do corpo caloso superiormente até a extensão inferior do corno temporal do ventrículo lateral.

Gliomas de baixo grau: astrocitomas e oligodendrogliomas
Pacientes com astrocitomas difusos de baixo grau (IDH-mutados) e oligodendrogliomas devem ser submetidos a ressecção máxima segura para diagnóstico e caracterização molecular. A dose padrão de radioterapia fracionada convencional é de 54 Gy em 30 frações. Quimioterapia é recomendada para tumores grau 2 ou superior com características de alto risco. Tumores IDH wild-type recebem abordagem multimodal semelhante à dos gliomas malignos, dada sua história natural desfavorável.
A radiocirurgia estereotáxica não é indicada para esses tumores no cenário de primeira linha, com exceção de casos selecionados de astrocitomas pilocíticos.
Volumes-alvo para gliomas astrocíticos e oligodendrogliais

| Tipo tumoral | Definição do GTV | Expansão CTV sugerida | Expansão PTV |
|---|---|---|---|
| Astrocitoma pilocítico grau I | Tumor não ressecado: RM T1 pós-contraste; ressecado: cavidade pós-operatória | 0–0,5 cm, reduzido junto a barreiras anatômicas | 0–0,3 cm conforme técnica; 0–1 mm para SRS/HSRT; 1–3 mm para RT convencional |
| Ganglioglioma | Tumor não ressecado: RM T2 ou FLAIR pós-contraste; ressecado: cavidade + tumor residual | 1 cm, reduzido junto a barreiras naturais | 0,3–0,5 cm conforme IGRT e técnica |
| Glioma difuso de baixo grau (IDH-mutado, grau II) | Tumor não ressecado: RM T2 ou FLAIR; ressecado: cavidade + tumor residual | 1 cm, reduzido junto a barreiras naturais | 0,3–0,5 cm conforme IGRT e técnica |
Fonte: Target Volume Delineation and Field Setup, 2nd Edition (Tabela 29.2)
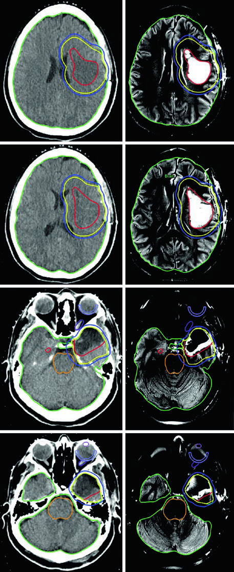
Na prática, o caso do oligodendroglioma ilustrado na Figura 29.5 mostra um paciente após craniotomia frontotemporal esquerda com ressecção parcial. O GTV (vermelho) abrange a doença residual em FLAIR e a cavidade operatória. A expansão de 1,0 cm gera o CTV (amarelo), com restrição anatômica fora da fossa posterior, crânio e estruturas de linha média. O PTV (azul) recebe margem adicional de 0,3 cm.
Meningiomas grau 1: doses, técnicas e contorno

Meningiomas representam os tumores intracranianos primários mais frequentes em adultos — mais de 70% são benignos e candidatos a radioterapia definitiva. Para pacientes grau 1 submetidos a ressecção subtotal em áreas de alto risco de progressão sintomática, a terapia adjuvante pode ser considerada. Nos demais casos, cirurgia de resgate e radioterapia são reservadas para recorrência.
Doses e fracionamentos recomendados
| Técnica de radiação | Dose/fracionamento sugerido |
|---|---|
| SRS | 14–16 Gy em fração única |
| FSRT | 20–24 Gy em 4 frações; 25 Gy em 5 frações |
| RT convencional fracionada | 52,2–54 Gy a 1,8–2 Gy/fração; 50,4 Gy a 1,8 Gy/fração para meningiomas de bainha do nervo óptico |
Fonte: Target Volume Delineation and Field Setup, 2nd Edition (Tabela 29.3)
Volumes-alvo para meningiomas
| Cenário clínico | Definição do GTV | Expansão CTV | Expansão PTV |
|---|---|---|---|
| Grau 1 não ressecado | Tumor delineado em RM e TC de simulação | 0–0,5 cm, reduzido junto a barreiras anatômicas | 0–1 mm (SRS/HSRT); 1–3 mm (RT convencional) |
| Grau 1 recorrente | Cavidade pós-operatória, tumor residual realçado, envolvimento dural/ósseo suspeito e inserção dural prévia | 0–0,5 cm com restrição anatômica | 0–1 mm (SRS/HSRT); 1–3 mm (RT convencional) |
Fonte: Target Volume Delineation and Field Setup, 2nd Edition (Tabela 29.4)

Um ponto prático crucial: a avaliação da TC é essencial para decidir se alterações periosteais e ósseas devem ser incluídas no GTV. No exemplo do meningioma do seio cavernoso (Figura 29.7), o tumor foi delineado com RM de planejamento, recebeu margem de 2 mm para o PTV e foi tratado a 52,2 Gy em 29 frações. As linhas de isodose mostram conformação apertada ao redor do tronco encefálico, quiasma, nervos cranianos adjacentes, artéria carótida e cóclea.

Meningiomas volumosos selares e suprasselares com ressecção incompleta — como na Figura 29.8 — podem requerer expansão de PTV de 3 mm por causa da doença residual extensa. A relação íntima com os globos e o tronco encefálico exige planejamento dosimétrico cuidadoso, frequentemente com IMRT ou VMAT para conformar a dose e proteger essas estruturas.
Schwannomas vestibulares e não vestibulares

Schwannomas vestibulares e não vestibulares podem ser tratados com radioterapia como terapia definitiva, adjuvante pós-ressecção parcial ou, raramente, para recorrência. Uma característica distintiva desses tumores: não se adiciona margem de CTV — o GTV é delineado diretamente na RM T1 pós-contraste e TC de simulação, e o PTV recebe expansão dependente da técnica.
Técnicas e volumes-alvo para schwannomas
| Técnica | Dose/fracionamento | GTV | CTV | PTV |
|---|---|---|---|---|
| SRS | 12–13 Gy em fração única | Tumor em RM + TC | Nenhuma | 0–1 mm |
| FSRT | 20 Gy/4 frações ou 25 Gy/5 frações | Tumor em RM + TC | Nenhuma | 0–1 mm |
| RT convencional | 46,8–54 Gy a 1,8–2 Gy/fração | Tumor em RM + TC | Nenhuma | 0–3 mm |
Fonte: Target Volume Delineation and Field Setup, 2nd Edition (Tabela 29.5)

O caso da Figura 29.9 ilustra um schwannoma vestibular direito no ângulo cerebelopontino que comprime o pedúnculo cerebelar médio e a ponte, estendendo-se para o fundo do canal auditivo interno. Há compressão do tronco encefálico e do nervo trigêmeo cisternal, com apagamento parcial moderado do quarto ventrículo. Na Figura 29.10, o tratamento de um schwannoma do APC esquerdo com SRS a 12,5 Gy de prescrição mostra a isodose de prescrição cobrindo o tumor, com isodose de 20 Gy no centro e 5 Gy na periferia, preservando tronco encefálico e cóclea como OARs.
Adenomas hipofisários: contorno e planejamento

Adenomas não funcionantes são tipicamente tratados com SRS, HSRT ou RT convencional fracionada no cenário adjuvante ou de resgate após ressecção. Adenomas funcionantes podem receber terapia hormonal ou cirurgia antes de se considerar radioterapia. Imagens de RM de alta resolução com cortes finos nos planos coronal e sagital são essenciais para delinear os volumes-alvo. Os adenomas são melhor visualizados na fase precoce do gadolínio dinâmico, aparecendo como lesão hipointensa contra o fundo hiperintenso da glândula hipofisária normal.
Doses recomendadas para adenomas hipofisários
| Técnica | Dose/fracionamento |
|---|---|
| SRS — Não funcionante | 15–16 Gy em fração única |
| SRS — Funcionante/secretor | 18–25 Gy em fração única (preferir >20 Gy), baseado na tolerância do nervo óptico/quiasma |
| RT convencional — Não funcionante | 45–50,4 Gy a 1,8–2 Gy/fração |
| RT convencional — Funcionante/secretor | 54–55,8 Gy a 1,8–2 Gy/fração |
Fonte: Target Volume Delineation and Field Setup, 2nd Edition (Tabela 29.6)
Volumes-alvo para adenomas hipofisários
| Cenário clínico | Definição do GTV | Expansão CTV | Expansão PTV |
|---|---|---|---|
| Não ressecado / residual focal / recorrência focal | Tumor delineado em RM e TC de simulação | 0–0,5 cm, reduzido junto a barreiras anatômicas | 0–1 mm (SRS/HSRT); 1–3 mm (RT convencional) |
| Ressecado com residual ou recorrência | Tumor delineado em RM e TC de simulação | 0–0,5 cm, reduzido junto a barreiras anatômicas e extensão pré-operatória da doença | 0,3–0,5 cm conforme IGRT e técnica |
Fonte: Target Volume Delineation and Field Setup, 2nd Edition (Tabela 29.7)

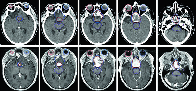
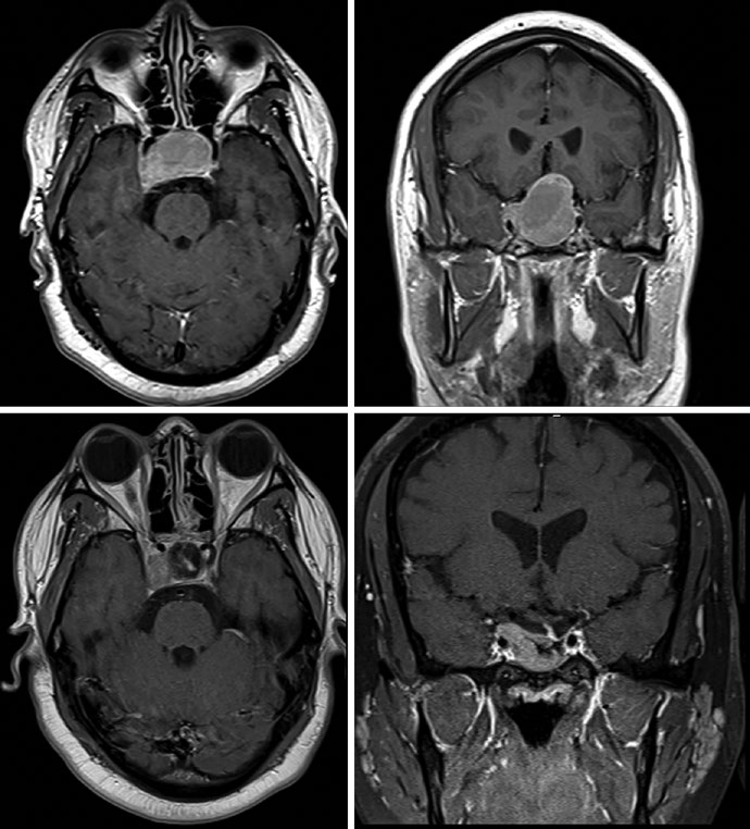
O adenoma secretor de GH da Figura 29.11 demonstra tratamento com SRS a 24 Gy. O tumor toca a margem medial da carótida cavernosa e se estende lateralmente entre as alças da carótida, com envolvimento do seio cavernoso. A dose ao quiasma, nervos ópticos e tronco encefálico permaneceu abaixo de 8 Gy. Na Figura 29.12, o adenoma não secretor mostra invasão do seio cavernoso direito e extensão suprasselar — após ressecção, o tumor residual na sela e no seio cavernoso persistiu.

A Figura 29.13 mostra o planejamento fracionado do mesmo paciente: GTV em coral, CTV com margem de 0,5 cm anatomicamente restrita em teal, PTV com expansão adicional de 0,3 cm. Tronco encefálico, quiasma e nervos ópticos aparecem como OARs delineados. Para macroadenomas, quando a invasão do seio cavernoso é difícil de visualizar, a recomendação é incluir o seio cavernoso inteiro no GTV. Conhecer o tipo de material implantado na sela (músculo, gordura ou retalho de septo nasal) ajuda a diferenciá-lo de tumor residual.
Tumores glômicos e paragangliomas
Tumores glômicos são neoplasias neuroendócrinas raras que podem ocorrer na base do crânio, cabeça e pescoço, tórax e abdômen, nomeados conforme o sítio de origem. As opções terapêuticas incluem embolização, ressecção e radioterapia, com altas taxas de controle local. A avaliação detalhada por RM e TC é indispensável para detectar invasão da cavidade timpânica, forame jugular, região petroclival, seio cavernoso ou canal do hipoglosso. A TC em janela óssea complementa a RM ao revelar erosão óssea.

Doses e volumes para tumores glômicos
| Técnica | Dose/fracionamento |
|---|---|
| SRS | 14–16 Gy em fração única |
| FSRT | 25 Gy em 5 frações |
| RT convencional | 50,4–54 Gy a 1,8–2 Gy/fração |
Fonte: Target Volume Delineation and Field Setup, 2nd Edition (Tabela 29.8)
| Definição do GTV | Expansão CTV | Expansão PTV |
|---|---|---|
| Tumor delineado em RM e TC de simulação | 0–0,5 cm, reduzido junto a barreiras anatômicas | 0–1 mm (SRS/HSRT); 1–3 mm (RT convencional) |
Fonte: Target Volume Delineation and Field Setup, 2nd Edition (Tabela 29.9)

A Figura 29.14 mostra um tumor glômico carotídeo que separa as artérias carótidas interna e externa. O GTV (vermelho) foi delineado em RM T2 SPACE co-registrada à TC, com expansão de 3 mm para PTV. O paciente recebeu 25 Gy em 5 frações com linhas de isodose de prescrição (25 Gy), 110% (27,5 Gy), 80% (20 Gy) e 50% (12,5 Gy), com preservação de parótidas, glândulas submandibulares, cavidade oral e parede orofaríngea.
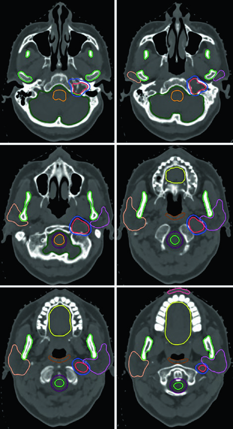
O caso da Figura 29.15 demonstra um cenário mais complexo: tumor glômico recorrente no bulbo jugular esquerdo após embolização e ressecção, tratado com 54 Gy em 30 frações. O GTV foi gerado co-registrando imagens de RM do diagnóstico inicial e da recorrência, incluindo a extensão original da doença, alterações pós-operatórias, leito tumoral e doença recorrente com cobertura até a base do crânio. Margem de 0,3 cm definiu o PTV. Múltiplos OARs — tronco encefálico, mandíbula, parótidas, medula com PRV, parede orofaríngea, cavidade oral e lábios — foram cuidadosamente delineados.
Considerações finais e integração clínica
O delineamento de tumores benignos do SNC exige integração multimodal de imagem — TC em diferentes janelas complementada por RM com sequências específicas para cada patologia. A decisão entre SRS, FSRT e RT convencional fracionada depende do tamanho tumoral, proximidade com estruturas críticas (especialmente o aparato óptico) e cenário clínico (definitivo, adjuvante ou resgate). Para uma visão abrangente das técnicas de delineamento em radioterapia, confira nosso guia completo sobre delineamento de volumes-alvo e configuração de campos.
Schwannomas e meningiomas compactos são candidatos ideais a SRS ou FSRT, enquanto tumores maiores ou próximos ao quiasma óptico frequentemente requerem fracionamento convencional para respeitar as tolerâncias das estruturas críticas. Os gliomas de baixo grau, por sua natureza infiltrativa, demandam margens de CTV maiores e o uso criterioso de RM FLAIR para capturar a extensão da doença. Já os tumores glômicos exigem atenção especial à anatomia da base do crânio e à potencial invasão vascular. Artigos relacionados que podem complementar sua leitura incluem nosso material sobre metástases cerebrais e SRS e sobre tumores malignos do SNC.




