Com o PACS, as imagens médicas podem ser facilmente acessadas, compartilhadas e armazenadas eletronicamente, melhorando a velocidade e a eficiência dos diagnósticos e do planejamento do tratamento. Atualmente, a inteligência artificial (IA) tem sido cada vez mais incorporada aos PACS modernos, melhorando a eficiência, a precisão e a usabilidade desses sistemas. Algumas das aplicações de IA nos PACS atuais incluem:
- Detecção e diagnóstico auxiliado por IA: Os algoritmos de IA podem analisar automaticamente as imagens médicas armazenadas no PACS para identificar possíveis anormalidades e ajudar os radiologistas na tomada de decisões clínicas, reduzindo o tempo de análise e minimizando erros.
- Priorização de casos: A IA pode ser usada para classificar e priorizar casos com base na urgência e na gravidade das condições dos pacientes, garantindo que os radiologistas abordem primeiro os casos mais críticos e melhorando a eficiência geral do atendimento.
- Segmentação automática de órgãos e estruturas: Algoritmos de IA podem realizar a segmentação automática de órgãos e estruturas anatômicas nas imagens armazenadas no PACS, facilitando a análise e a comparação das imagens pelos radiologistas.
- Geração automática de laudos: A IA pode gerar laudos médicos com base nas imagens e nas informações clínicas disponíveis, auxiliando os radiologistas na elaboração de relatórios precisos e consistentes.
- Ferramentas de aprendizado e treinamento: A IA pode ser utilizada para criar simulações e exercícios educacionais baseados nas imagens armazenadas no PACS, contribuindo para a formação e capacitação de futuros profissionais de radiologia.
- Integração de dados e análise preditiva: A IA pode analisar os dados clínicos, históricos médicos e imagens radiológicas armazenadas no PACS para identificar padrões, tendências e possíveis resultados, melhorando o tratamento e o acompanhamento dos pacientes.
Essas aplicações de IA nos PACS modernos estão transformando a forma como os radiologistas e outros profissionais de saúde trabalham com imagens médicas, aumentando a eficiência, a precisão e a qualidade dos cuidados prestados aos pacientes. No entanto, o futuro da imagiologia médica com a tecnologia PACS é ainda mais empolgante com a integração da inteligência artificial (IA). Nesta postagem, exploraremos o futuro da imagiologia médica com tecnologia PACS e IA.
Análise de imagem aprimorada com IA
Os algoritmos de IA podem analisar rapidamente grandes quantidades de imagens médicas e fornecer informações que seriam difíceis de identificar por

Laudo Radiologista
radiologistas humanos. Isso pode melhorar muito a velocidade e a precisão dos diagnósticos e levar a melhores resultados de tratamento. No futuro, os novos algoritmos de IA integrados à tecnologia PACS poderão fornecer análises em tempo real de imagens médicas, tornando o processo de diagnóstico ainda mais eficiente.
Carga reduzida para radiologistas
Com algoritmos de IA lidando com uma grande parte do processo de análise de imagens, os radiologistas poderão se concentrar em casos mais complexos que exigem sua experiência. Isso pode reduzir a carga de trabalho dos radiologistas e permitir que eles forneçam cuidados de alta qualidade aos seus pacientes.
Atendimento médico mais personalizado

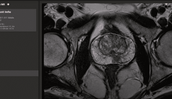
Segmentação automática de Tomografia com IA
Os algoritmos de IA podem analisar imagens médicas para identificar padrões e fornecer recomendações mais personalizadas para o tratamento. No futuro, a tecnologia PACS integrada à IA poderá fornecer planos de tratamento personalizados para pacientes individuais, levando a melhores resultados de saúde.
Atualmente, as inteligências artificiais, já desempenham um papel fundamental na segmentação automática de órgãos e na elaboração de laudos médicos em radiologia. A segmentação automática permite que a IA identifique e delimite os órgãos e estruturas anatômicas em imagens médicas, o que facilita a análise dos radiologistas e a identificação de possíveis anormalidades. Além disso, a IA pode gerar laudos médicos com base nas informações extraídas das imagens, descrevendo suas observações e conclusões de maneira clara e concisa. Isso agiliza o processo de análise, aumenta a precisão dos diagnósticos e permite que os profissionais de saúde se concentrem em tarefas mais complexas e no atendimento direto aos pacientes.
O Impacto do GPT-4 na Radiologia
A adoção de tecnologias como o GPT-4 da OpenAI tem impulsionado mudanças significativas na radiologia, melhorando a eficiência, a precisão e a qualidade dos diagnósticos, além de permitir avanços no tratamento e acompanhamento de pacientes. Neste artigo, exploraremos os impactos do GPT-4 na radiologia e como essa tecnologia revolucionou a prática médica.
Auxílio no diagnóstico e interpretação de imagens
O GPT-4, com seu poderoso sistema de processamento de linguagem natural e aprendizado profundo, tem sido utilizado para auxiliar radiologistas na interpretação de imagens médicas, como raios-X, tomografias computadorizadas e ressonâncias magnéticas. Ao analisar padrões e características específicas nas imagens, o GPT-4 pode fornecer sugestões de diagnóstico e detectar anormalidades com precisão superior à dos humanos em muitos casos. Essa assistência não apenas melhora a eficiência dos radiologistas, mas também minimiza a possibilidade de erros humanos e resultados falso-positivos ou falso-negativos.
Personalização do tratamento e acompanhamento
O GPT-4 também tem sido usado para desenvolver planos de tratamento personalizados e monitorar a evolução dos pacientes. Ao processar dados clínicos, históricos médicos e imagens radiológicas, a IA pode identificar tendências, prever resultados e recomendar abordagens terapêuticas adaptadas às necessidades específicas de cada paciente. Isso permite uma medicina personalizada e aumenta as chances de sucesso no tratamento.
Educação e treinamento em radiologia
A inteligência artificial tem sido uma ferramenta valiosa para a educação e treinamento de futuros radiologistas. O GPT-4 pode ser usado para criar simulações realistas e cenários de diagnóstico, permitindo que os estudantes testem suas habilidades e tomem decisões clínicas em um ambiente seguro e controlado. Além disso, o GPT-4 pode oferecer feedback instantâneo e sugestões de melhoria, promovendo um aprendizado mais eficiente e acelerado.
Aumento da acessibilidade aos serviços de radiologia
Com a crescente demanda por serviços de radiologia, o GPT-4 tem o potencial de tornar esses serviços mais acessíveis e disponíveis para um maior número de pacientes. A IA pode ser utilizada para realizar triagens e diagnósticos rápidos, especialmente em áreas remotas ou com recursos limitados, melhorando o acesso à saúde e reduzindo a sobrecarga nos sistemas médicos.
Gerenciamento automatizado de imagens
No futuro, a tecnologia PACS integrada à IA poderá automatizar muitas tarefas relacionadas ao gerenciamento de imagens, como armazenamento, recuperação e distribuição de imagens. Isso melhorará muito a eficiência dos serviços de imagens médicas e reduzirá a carga sobre os profissionais de saúde.O futuro da imagiologia médica com tecnologia PACS e IA é emocionante. Com análise de imagem aprimorada, carga reduzida para os radiologistas, atendimento médico mais personalizado e gerenciamento automatizado de imagens, a tecnologia PACS integrada à IA melhorará muito a velocidade e a eficiência dos serviços de imagens médicas, levando a melhores resultados de saúde para os pacientes.




