Delineamento de Volume Alvo no Câncer Gástrico
O câncer gástrico permanece entre as neoplasias que mais desafiam o planejamento radioterápico adjuvante. O estômago se estende da junção gastroesofágica ao piloro, com a grande curvatura formando a borda esquerda convexa e a pequena curvatura constituindo a borda direita côncava. Anatomicamente, divide-se em quatro regiões — cárdia, fundo, corpo e antro — e sua parede apresenta cinco camadas histológicas: mucosa, submucosa, muscular externa, subserosa e serosa. Para uma visão ampla de todos os sítios anatômicos cobertos nesta série, confira nosso guia completo sobre delineamento de volume alvo.

Quanto à localização primária, os tumores da junção gastroesofágica, cárdia e fundo respondem por aproximadamente 35% dos casos; tumores do corpo representam cerca de 25%; e os do antro e estômago distal perfazem aproximadamente 40%. Essa distribuição tem implicação direta no planejamento, pois os volumes de CTV mudam substancialmente conforme o subsítio de origem.
Na extensão local, o tumor pode invadir diretamente fígado, duodeno, pâncreas, cólon transverso, omento e diafragma. Tumores proximais frequentemente se estendem superiormente para o esôfago, e a invasão perineural é uma via de disseminação que não pode ser negligenciada.
Estações Linfonodais e Padrões de Disseminação
O comprometimento linfonodal no câncer gástrico é extremamente prevalente — até 80% dos pacientes já apresentam linfonodos comprometidos ao diagnóstico. Na prática, isso significa que o delineamento dos volumes nodais é tão crítico quanto a cobertura do leito tumoral.

A classificação japonesa (JRSGC) organiza as estações em quatro grupos. As tabelas a seguir reproduzem fielmente a distribuição publicada no livro-texto, com a correspondência anatômica de cada estação.
Estações Linfonodais — Classificação JRSGC
| Grupo | Estação | Descrição |
|---|---|---|
| N1 | 1 | Linfonodos cardiais direitos |
| N1 | 2 | Linfonodos cardiais esquerdos |
| N1 | 3 | Linfonodos ao longo da pequena curvatura |
| N1 | 4 | Linfonodos ao longo da grande curvatura |
| N1 | 5 | Linfonodos suprapilóricos |
| N1 | 6 | Linfonodos infrapilóricos |
| N2 | 7 | Linfonodos ao longo da artéria gástrica esquerda |
| N2 | 8 | Linfonodos ao longo da artéria hepática comum |
| N2 | 9 | Linfonodos ao longo do eixo celíaco |
| N2 | 10 | Linfonodos no hilo esplênico |
| N2 | 11 | Linfonodos ao longo da artéria esplênica |
| N3 | 12 | Linfonodos no ligamento hepatoduodenal |
| N3 | 13 | Linfonodos na face posterior da cabeça pancreática |
| N3 | 14 | Linfonodos na raiz do mesentério |
| N4 | 15 | Linfonodos no mesocólon transverso |
| N4 | 16 | Linfonodos para-aórticos |
Fonte: Target Volume Delineation and Field Setup, 2nd Edition (Tabela 15.1). Adaptado de Hartgrink & Van De Velde (2005).
Na prática clínica, os tumores proximais e da junção gastroesofágica tendem a disseminar para linfonodos paraesofágicos inferiores. Já tumores do corpo podem acometer virtualmente todas as estações. Tumores distais e do antro têm maior tendência a envolver linfonodos periduodenais e da porta hepática. Essa lógica de disseminação é a base para a seleção dos volumes nodais no CTV.
Investigação Diagnóstica para Delineamento
Antes do planejamento radioterápico, é imperativo revisar os laudos cirúrgico e patológico e discutir com o cirurgião para identificar as áreas de maior risco de recorrência. Precisa-se anotar se a cirurgia foi gastrectomia total ou parcial, pois isso muda completamente a anatomia pós-operatória.

A TC pré-operatória deve ser revisada para localizar o tumor primário e as cadeias linfonodais envolvidas. Vale observar que o PET com FDG isolado não é adequado para estadiamento do câncer gástrico, já que subtipos difusos e mucinosos apresentam baixa captação de FDG — uma armadilha diagnóstica frequente.
Deve-se considerar estudo de perfusão renal quantitativa bilateral antes da radioterapia, pois a função renal pode limitar o planejamento. A TC pós-operatória com contraste oral e intravenoso é obrigatória, com identificação precisa do esôfago e remanescente gástrico, da anastomose (gastrojejunal ou esofagojejunal), do coto duodenal, da porta hepática, do hilo esplênico, do pâncreas, e da artéria celíaca e artéria mesentérica superior.
Princípios Gerais de Planejamento e CTV Adjuvante
Os pacientes devem jejuar por 2 a 3 horas antes da TC de simulação e antes de cada fração. A TC de planejamento, com cortes de 3–5 mm, deve ser adquirida com o paciente em decúbito dorsal e braços acima da cabeça, estendendo-se do topo do diafragma (ou da carina para tumores da JGE ou cárdia) até a base de L4.
Imobilização com saco a vácuo tipo VacLok é recomendada para tratamento com IMRT. Contraste intravenoso é preferido para demonstrar os vasos sanguíneos e guiar o delineamento do CTV, particularmente para as cadeias linfonodais.
Definição dos Volumes-Alvo
| Volume | Definição e Descrição |
|---|---|
| GTV | Doença residual macroscópica definida por imagem (TC) e achados cirúrgicos |
| PTV (doença residual) | GTV residual / margens positivas + 1,5 cm. Boost tipo cone-down após 45 Gy até dose total de 50,4–54 Gy em frações de 1,8 Gy |
| CTV45 | Cobertura dos grupos nodais conforme subsítio (Tabelas 15.5–15.8). Inclui remanescente gástrico, anastomose (gastrojejunal ou esofagojejunal), coto duodenal |
| PTV45 | CTV45 + 1 cm de margem. Margem maior pode ser necessária para movimento de órgão e incertezas de setup |
Fonte: Target Volume Delineation and Field Setup, 2nd Edition (Tabela 15.2)
Três áreas devem ser identificadas como CTV na radioterapia adjuvante: o leito tumoral gástrico, a anastomose ou cotos, e as cadeias linfáticas regionais. Além disso, o ligamento hepatogástrico deve preferencialmente ser tratado em todos os casos, pois está em alto risco de recorrência — representa a parte do omento menor que conecta a pequena curvatura ao fígado e contém os linfonodos gástricos esquerdos e direitos que nem sempre são completamente removidos na cirurgia.
A dose total recomendada para radioterapia adjuvante com quimioterapia concomitante é de 45 Gy em 25 frações, utilizando fótons de alta energia (≥6 MV). Boost para 50,4–54 Gy deve ser administrado para margens positivas ou doença residual, desde que as doses nos órgãos críticos adjacentes estejam dentro da tolerância.
Impacto do Estadiamento T e N nos Volumes de Tratamento
| Categoria TN (AJCC 8ª edição) | Estômago remanescente | Leito tumoral | Linfonodos |
|---|---|---|---|
| T1-2N0 (sem invasão da subserosa) | Não | Não | Não |
| T2N0 (invasão da subserosa) | Variável | Sim | Não |
| T3N0 | Variável | Sim | Não |
| T4N0 | Variável | Sim | Variável |
| T1-2N+ | Sim | Não | Sim |
| T3-4N+ | Sim | Sim | Sim |
Fonte: Target Volume Delineation and Field Setup, 2nd Edition (Tabela 15.4). Adaptado de Clinical Radiation Oncology, 4ª edição.
CTV por Subsítio: Junção Gastroesofágica
Para tumores da JGE, o estômago remanescente deve ser incluído desde que permita exclusão de dois terços do rim direito. A cobertura do leito tumoral depende do T: para T2N0 com invasão da subserosa, inclui-se o hemidiafragma esquerdo medial e o corpo do pâncreas adjacente. Para T3N0, o padrão é semelhante. Já para T4N0, soma-se a cobertura dos sítios de aderência com margem de 3–5 cm.
Os volumes nodais para a JGE incluem linfonodos perigástricos (PG), perioesofágicos (PEN), celíacos (CN) e mediastinais (MN), conforme o estadiamento N. Uma margem de 4 cm do esôfago deve ser incluída no CTV para tumores da junção gastroesofágica. A inclusão opcional de linfonodos para T2-3N0 é aceitável quando houve dissecção adequada D2 com pelo menos 10–15 linfonodos examinados.
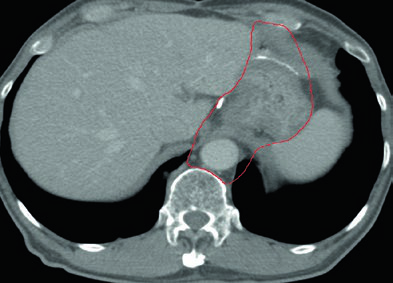
CTV por Subsítio: Cárdia e Terço Proximal
Para tumores da cárdia e terço proximal, o estômago remanescente deve ser incluído poupando dois terços de um rim, geralmente o direito. O leito tumoral para T2N0 inclui hemidiafragma esquerdo medial e corpo do pâncreas adjacente, com ou sem cauda. Na doença T1-2N+, os volumes nodais expandem para incluir PG, CN, esplênico, suprapancreático (SP), com possibilidade de mediastinal (MN), pancreaticoduodenal (PD) e porta hepática (PH). Vale notar que PD e PH apresentam baixo risco quando a positividade nodal é mínima (1–2 linfonodos positivos com 10–15 examinados).
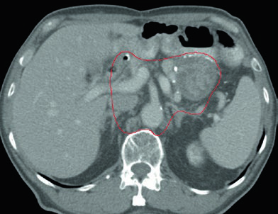
CTV por Subsítio: Corpo e Terço Médio

Nos tumores do corpo gástrico, o estômago remanescente sempre é incluído, poupando dois terços de um rim. O leito tumoral para T2-3N0 corresponde ao corpo do pâncreas com ou sem cauda. Os volumes nodais para doença T1-2N+ incluem PG, CN, esplênico, SP, PD e PH — praticamente todas as estações perigástricas e retroperitoneais relevantes.
CTV por Subsítio: Antro, Piloro e Terço Distal
Para tumores do antro e piloro, o estômago remanescente é incluído poupando dois terços do rim esquerdo (nota: inversamente ao que se faz na JGE). O leito tumoral para T2-3N0 compreende cabeça do pâncreas com ou sem corpo, além da primeira e segunda porções do duodeno. Os volumes nodais para T1-2N+ incluem PG, CN, SP, PD e PH, com inclusão opcional do hilo esplênico.
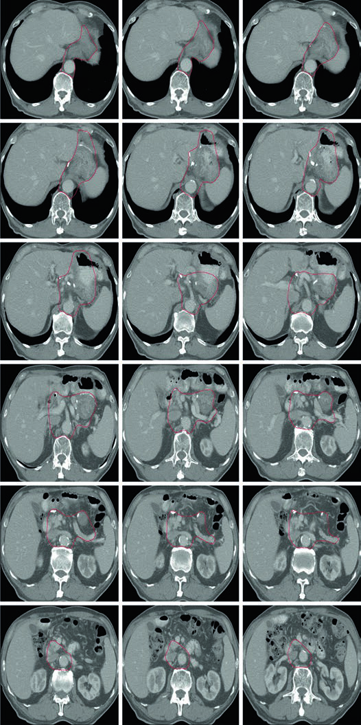
Casos Clínicos: CTV na Prática
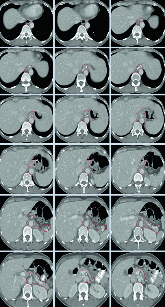
Caso 1: T1N1M0 Adenocarcinoma da Cárdia — Gastrectomia Total


Neste caso, o CTV engloba a anastomose esofagojejunal, o ligamento hepatogástrico, a artéria celíaca e o hilo esplênico. Como se trata de gastrectomia total em tumor da cárdia com linfonodo positivo, não há remanescente gástrico a incluir, mas os volumes nodais devem ser amplos.
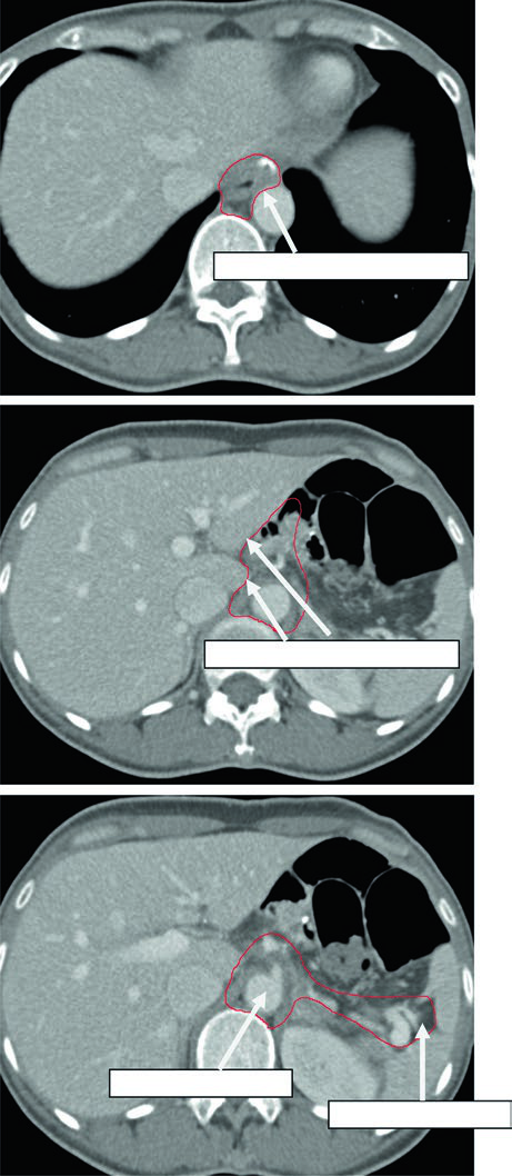
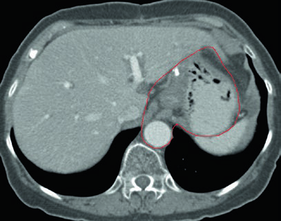
Caso 2: T3N3M0 Adenocarcinoma do Corpo — Gastrectomia Distal



Com doença T3N3, o CTV é extenso: inclui anastomose gastrojejunal, estômago remanescente, artéria celíaca, hilo esplênico e leito tumoral pancreático. Esse cenário exige atenção especial às restrições de dose nos órgãos de risco — particularmente rins e fígado — pois o volume de tratamento é considerável.
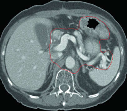
Caso 3: T2N1M0 Adenocarcinoma de Antro/Piloro — Gastrectomia Distal



No adenocarcinoma de antro/piloro, o CTV abrange a anastomose gastrojejunal, o estômago remanescente, o ligamento hepatogástrico e o coto duodenal. A cobertura do hilo esplênico é opcional neste cenário. A inclusão do coto duodenal é preferencial em gastrectomias parciais por tumores distais/antrais, mas não deve ser incluída em pacientes com tumores proximais submetidos a gastrectomia total.
Avaliação do Plano e Restrições de Dose
Em casos avançados, a equipe tipicamente prioriza as restrições de dose nos órgãos normais — especificamente medula espinhal, rins e fígado — sobre a cobertura completa do tumor. Na técnica 3D conformal, 100% do PTV45 deve receber ≥42,75 Gy (95% da dose prescrita), conforme ICRU 62. Com IMRT, 98% do PTV deve receber ≥42,75 Gy, conforme ICRU 83.
Restrições de Dose para OAR em Tumores Abdominais Superiores
| Órgão de Risco | Restrição de Dose | Desfecho | Taxa (%) |
|---|---|---|---|
| Medula espinhal | Dmax = 50 Gy | Mielopatia | 0,2 |
| Medula espinhal | Dmax = 60 Gy | Mielopatia | 6 |
| Medula espinhal | Dmax = 69 Gy | Mielopatia | 50 |
| Fígado inteiro | Dose média 30–32 Gy | RILD clássica | <5 |
| Fígado inteiro | Dose média <42 Gy | RILD clássica | <50 |
| Intestino delgado | V45 < 195 cc (cavidade peritoneal inteira) | Toxicidade aguda grau ≥3 | <10 |
| Coração | Dose média <26 Gy (pericárdio) | Pericardite | <15 |
| Coração | V30 < 46% (pericárdio) | Mortalidade cardíaca tardia | <15 |
| Coração | V25 < 10% (coração inteiro) | Mortalidade cardíaca | <1 |
| Rins bilaterais | Dose média <15–18 Gy | Disfunção renal clinicamente relevante | <5 |
| Rins bilaterais | Dose média <28 Gy | Disfunção renal clinicamente relevante | <50 |
Fonte: Target Volume Delineation and Field Setup, 2nd Edition (Tabela 15.9)
A relação entre rins e volume de tratamento merece atenção particular no câncer gástrico. Para tumores da JGE e cárdia, o planejamento visa preservar dois terços do rim direito; para tumores do antro e piloro, preserva-se dois terços do rim esquerdo. Essa assimetria reflete a anatomia da extensão tumoral e do leito cirúrgico.
Considerações Gerais sobre o CTV Adjuvante
A tabela a seguir resume as considerações gerais que orientam a inclusão do coto duodenal, anastomose, linfonodos para-aórticos e linfonodos paraesofágicos.
| Volume-Alvo | Definição e Descrição |
|---|---|
| Coto duodenal | Preferencialmente coberto em gastrectomia parcial por tumores distais/antrais. Não incluir em gastrectomia total por tumores proximais/cárdia |
| Anastomose | Gastrojejunal (gastrectomia parcial para tumores distais) ou esofagojejunal (gastrectomia total para tumores proximais/JGE) — devem ser tratadas |
| Linfonodos para-aórticos | Devem ser incluídos por toda a extensão do CTV |
| Linfonodos paraesofágicos | Margem de 4 cm do esôfago incluída no CTV para tumores da junção gastroesofágica |
Fonte: Target Volume Delineation and Field Setup, 2nd Edition (Tabela 15.3)
Os benefícios da IMRT na radioterapia gástrica adjuvante têm sido demonstrados em diversas publicações. Quando utilizada, tanto o leito tumoral quanto os volumes subclínicos (incluindo regiões de drenagem linfática) devem ser delineados individualmente. O PTV é gerado expandindo o CTV com margem de pelo menos 1 cm, considerando movimento de órgão e incertezas de posicionamento.
Outra série de artigos desta coleção aborda técnicas relevantes para planejamentos abdominais complexos — como no delineamento de câncer de es��fago e no planejamento do câncer de pâncreas, que compartilham desafios semelhantes de movimento de órgão e proteção renal.




